You have no items in your shopping cart.
CD31 Polyclonal Antibody
Description
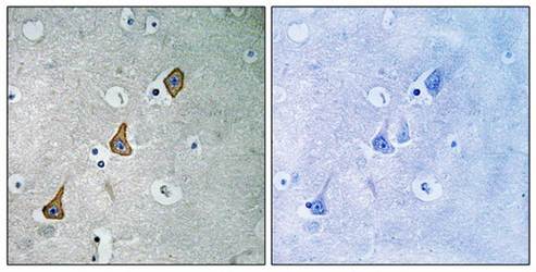
Images & Validation
−| Tested Applications | IF, IHC-P, WB |
|---|---|
| Dilution range | WB: Western Blot: 1/500 - 1/2000. Immunohistochemistry: 1/100 - 1/300. Immunofluorescence: 1/200 - 1/1000. ELISA: 1/20000. Not yet tested in other applications. |
| Reactivity | Human, Mouse |
Key Properties
−| Host | Rabbit |
|---|---|
| Clonality | Polyclonal |
| Conjugation | Unconjugated |
Storage & Handling
−| Storage | Maintain refrigerated at 2-8°C for up to 2 weeks. For long term storage store at -20°C in small aliquots to prevent freeze-thaw cycles |
|---|---|
| Disclaimer | For research use only |
Alternative Names
−Similar Products
−CD31 Rabbit Polyclonal Antibody [orb10315]
IF, IHC-Fr, IHC-P
Bovine, Canine, Porcine, Rabbit, Sheep
Human
Rabbit
Polyclonal
Unconjugated
100 μl, 200 μl, 50 μlCD31 Rabbit Polyclonal Antibody [orb221348]
IF, IHC-Fr, IHC-P
Canine, Porcine, Sheep
Human
Rabbit
Polyclonal
Unconjugated
50 μl, 100 μl, 200 μlCD31/PECAM1 (Extracellular) Antibody [orb1294369]
IHC, WB
Human
Rabbit
Polyclonal
Unconjugated
25 μl, 100 μlCD31 (phospho Tyr713) rabbit pAb [orb769438]
ELISA, IF, IHC-P, WB
Human, Mouse
Polyclonal
Unconjugated
100 μl, 50 μlPECAM-1 (Ab-713) Antibody [orb126698]
IF, IHC, WB
Human, Mouse
Rabbit
Polyclonal
Unconjugated
50 μg, 25 μg, 100 μg, 200 μg

Quality Guarantee
Explore bioreagents carefree to elevate your research. All our products are rigorously tested for performance. If a product does not perform as described on its datasheet, our scientific support team will provide expert troubleshooting, a prompt replacement, or a refund. For full details, please see our Terms & Conditions and Buying Guide. Contact us at support@biorbyt.com.







Quick Database Links
UniProt Details
−Documents Download
Request a Document
Protocol Information
CD31 Polyclonal Antibody (orb1414383)
Participating in our Biorbyt product reviews program enables you to support fellow scientists by sharing your firsthand experience with our products.
Login to Submit a Review


















