You have no items in your shopping cart.
CD34 Antibody
Description
Research Area
Images & Validation
−| Tested Applications | ELISA, IF, IHC, WB |
|---|---|
| Dilution Range | WB:1:2000-5000, IHC-P:1:20-200, IF:1:50-200 |
| Reactivity | Human, Mouse |
Key Properties
−| Host | Rabbit |
|---|---|
| Clonality | Polyclonal |
| Isotype | IgG |
| Immunogen | Recombinant Human Hematopoietic progenitor cell antigen CD34 protein (124-375AA) |
| Target | CD34 |
| Purification | >95%, Protein G purified |
| Conjugation | Unconjugated |
Storage & Handling
−| Storage | Maintain refrigerated at 2-8°C for up to 2 weeks. For long term storage store at -20°C in small aliquots to prevent freeze-thaw cycles. |
|---|---|
| Form/Appearance | Liquid |
| Buffer/Preservatives | Preservative: 0.03% Proclin 300. Constituents: 50% Glycerol |
| Expiration Date | 12 months from date of receipt. |
| Disclaimer | For research use only |
Alternative Names
−Similar Products
−CD34 Rabbit Polyclonal Antibody [orb500821]
IF, IHC-Fr, IHC-P, WB
Canine
Human, Mouse, Rat
Rabbit
Polyclonal
Unconjugated
50 μl, 100 μl, 200 μlCD34 Recombinant Rabbit Monoclonal Antibody [orb704258]
ELISA, IF, IHC-Fr, IHC-P, WB
Mouse, Rat
Human, Mouse, Rat
Rabbit
Recombinant
Unconjugated
100 μl, 50 μlCD34 Recombinant Rabbit Monoclonal Antibody [orb2563486]
IF, IHC-Fr, IHC-P, IP, WB
Mouse, Rat
Human, Mouse, Rat
Rabbit
Recombinant
Unconjugated
25 μl, 50 μl, 100 μlCD34 Rabbit Polyclonal Antibody [orb738369]
ELISA, IF, IHC, WB
Human, Rat
Rabbit
Polyclonal
Unconjugated
100 μg

Quality Guarantee
Explore bioreagents carefree to elevate your research. All our products are rigorously tested for performance. If a product does not perform as described on its datasheet, our scientific support team will provide expert troubleshooting, a prompt replacement, or a refund. For full details, please see our Terms & Conditions and Buying Guide. Contact us at support@biorbyt.com.

Western blot analysis of Mouse brain tissue using CD34 antibody

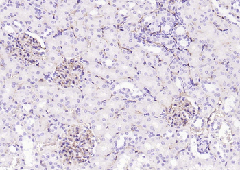
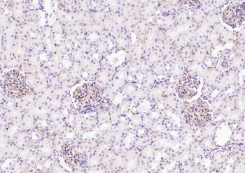
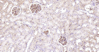
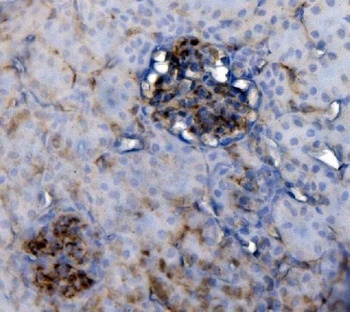
Immunohistochemical staining of human kidney tissue using CD34 antibody

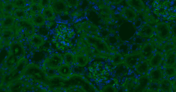
Immunofluorescence analysis of HepG2 cells using CD34 antibody

Immunofluorescence analysis of PC3 cells using CD34 antibody

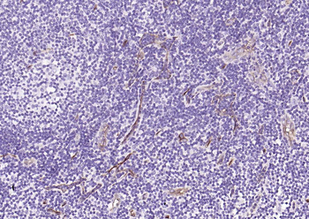
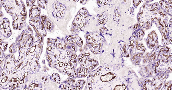
Immunohistochemical staining of human colon cancer using CD34 antibody
Quick Database Links
UniProt Details
−Documents Download
Request a Document
Protocol Information
CD34 Antibody (orb44647)
Participating in our Biorbyt product reviews program enables you to support fellow scientists by sharing your firsthand experience with our products.
Login to Submit a Review


























































