You have no items in your shopping cart.
CD36 Antibody
Description
Research Area
Images & Validation
−| Tested Applications | Functional Studies, IHC, WB |
|---|---|
| Reactivity | Human |
Key Properties
−| Host | Mouse |
|---|---|
| Clonality | Monoclonal |
| Isotype | IgG2c |
| Clone No. | CD36/7217 |
| Immunogen | Recombinant full-length human CD36 protein |
| Target | CD36 |
| Source/Expression System | Bioreactor |
| Molecular Weight | 80-90kDa |
| Purification | Protein A/G |
| Conjugation | Unconjugated |
Storage & Handling
−| Storage | Maintain refrigerated at 2-8°C for up to 2 weeks. For long term storage store at -20°C in small aliquots to prevent freeze-thaw cycles. |
|---|---|
| Form/Appearance | 200ug/ml of Ab purified from Bioreactor Concentrate by Protein A/G. Prepared in 10mM PBS with 0.05% rAlbumin & 0.05% azide. Also available WITHOUT rAlbumin & azide at 1.0mg/ml. |
| Disclaimer | For research use only |
Alternative Names
−Similar Products
−SCARB1/Scavenger Receptor BI Recombinant Rabbit Monoclonal Antibody [orb1499402]
ICC, IF, IHC-Fr, IHC-P, WB
Mouse, Rat
Human, Mouse, Rat
Rabbit
Recombinant
Unconjugated
25 μl, 50 μl, 100 μlScavenging Receptor SRB2/SCARB2 Rabbit Polyclonal Antibody [orb1402175]
ELISA, FC, IF, IHC, WB
Human
Rabbit
Polyclonal
Unconjugated
100 μgCD36 Rabbit Polyclonal Antibody [orb10321]
FC, IF, IHC-Fr, IHC-P, IP, WB
Mouse, Rat
Human, Mouse, Rat
Rabbit
Polyclonal
Unconjugated
50 μl, 100 μlCD36 Antibody (Center) [orb1931367]
FC, IF, IHC-P, WB
Rat
Human, Mouse, Rat
Rabbit
Polyclonal
Unconjugated
100 μl, 50 μl

Quality Guarantee
Explore bioreagents carefree to elevate your research. All our products are rigorously tested for performance. If a product does not perform as described on its datasheet, our scientific support team will provide expert troubleshooting, a prompt replacement, or a refund. For full details, please see our Terms & Conditions and Buying Guide. Contact us at support@biorbyt.com.

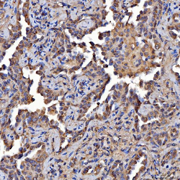
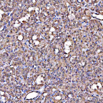
Formalin-fixed, paraffin-embedded human spleen stained with CD36 Mouse Monoclonal Antibody (CD36/7217) at 2 ug/ml. HIER: Tris/EDTA, pH9.0, 45 min. 2°: HRP-polymer, 30 min. DAB, 5 min.

SDS-PAGE Analysis Purified CD36 Mouse Monoclonal Antibody (CD36/7217). Confirmation of Purity and Integrity of Antibody.

Western Blot Analysis of human heart tissue lysate using CD36 Mouse Monoclonal Antibody (CD36/7217).

Western blot analysis of human heart tissue lysate using CD36 Mouse Monoclonal Antibody (CD36/7217).
Quick Database Links
UniProt Details
−Documents Download
Request a Document
Protocol Information
CD36 Antibody (orb1410517)
Participating in our Biorbyt product reviews program enables you to support fellow scientists by sharing your firsthand experience with our products.
Login to Submit a Review

































