You have no items in your shopping cart.
Recombinant CD38 Antibody
Description
Research Area
Images & Validation
−| Tested Applications | IHC-P, WB |
|---|---|
| Dilution Range | Western blot: 1-2ug/ml,Immunohistochemistry (FFPE): 1-2ug/ml |
| Reactivity | Human |
| Application Notes |
Key Properties
−| Antibody Type | Primary Antibody |
|---|---|
| Host | Rabbit |
| Clonality | Recombinant |
| Isotype | Rabbit IgG, kappa |
| Clone No. | CD38/6448R |
| Immunogen | A portion of amino acids 200-300 of human CD38 protein was used as the immunogen for the recombinant CD38 antibody. |
| Purification | Protein A/G affinity |
| Conjugation | Unconjugated |
Storage & Handling
−| Storage | Maintain refrigerated at 2-8°C for up to 2 weeks. For long term storage store at -20°C in small aliquots to prevent freeze-thaw cycles. |
|---|---|
| Buffer/Preservatives | 0.2 mg/ml in 1X PBS with 0.1 mg/ml rAlbumin, 0.05% sodium azide |
| Expiration Date | 12 months from date of receipt. |
| Disclaimer | For research use only |
Similar Products
−CD38 Recombinant Rabbit Monoclonal Antibody [orb704512]
FC, ICC, IF, IHC-Fr, IHC-P, WB
Human
Rabbit
Recombinant
Unconjugated
25 μl, 100 μl, 50 μl

Quality Guarantee
Explore bioreagents carefree to elevate your research. All our products are rigorously tested for performance. If a product does not perform as described on its datasheet, our scientific support team will provide expert troubleshooting, a prompt replacement, or a refund. For full details, please see our Terms & Conditions and Buying Guide. Contact us at support@biorbyt.com.

Western blot testing of human Raji cell lysate using recombinant CD38 antibody (clone CD38/6448R). Expected molecular weight: 34-46 kDa depending on glycosylation level.

SDS-PAGE analysis of purified, BSA-free recombinant CD38 antibody (clone CD38/6448R) as confirmation of integrity and purity.

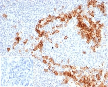
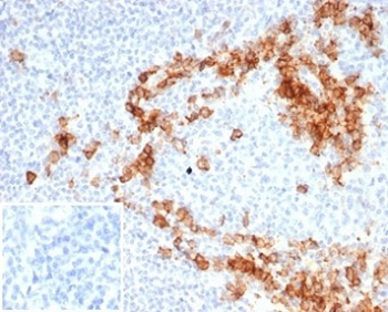
IHC staining of FFPE human tonsil tissue with recombinant CD38 antibody (clone CD38/6448R) at 2 ug/ml in PBS for 30 min RT. Strong cytoplasmic and membranous staining is observed. HIER: boil tissue sections in pH9 10mM Tris with 1mM EDTA for 20 min and allow to cool before testing.

Negative control: IHC staining of FFPE human brain tissue with recombinant CD38 antibody (clone CD38/6448R) at 2 ug/ml in PBS for 30 min RT. HIER: boil tissue sections in pH9 10mM Tris with 1mM EDTA for 20 min and allow to cool before testing.

IHC staining of FFPE human prostate adenocarcinoma tissue with recombinant CD38 antibody (clone CD38/6448R) at 2 ug/ml in PBS for 30 min RT. Strong cytoplasmic and membranous staining observed. HIER: boil tissue sections in pH9 10mM Tris with 1mM EDTA for 20 min and allow to cool before testing.
Quick Database Links
UniProt Details
−Documents Download
Request a Document
Protocol Information
Recombinant CD38 Antibody (orb1151661)
Participating in our Biorbyt product reviews program enables you to support fellow scientists by sharing your firsthand experience with our products.
Login to Submit a Review


























