You have no items in your shopping cart.
CD38 Antibody
Description
Research Area
Images & Validation
−| Tested Applications | ELISA, IHC, WB |
|---|---|
| Dilution range | WB: 1:500-1:5000; IHC: 1:20-1:200 |
| Reactivity | Human |
Key Properties
−| Antibody Type | Primary Antibody |
|---|---|
| Host | Rabbit |
| Clonality | Polyclonal |
| Isotype | IgG |
| Immunogen | CD38 molecule |
| Target | CD38 |
| Molecular Weight | 42 kDa |
| Purity | ≥95% as determined by SDS-PAGE |
| Purification | Immunogen affinity purified |
| Conjugation | Unconjugated |
Storage & Handling
−| Storage | Maintain refrigerated at 2-8°C for up to 2 weeks. For long term storage store at -20°C in small aliquots to prevent freeze-thaw cycles. |
|---|---|
| Form/Appearance | liquid |
| Disclaimer | For research use only |
Similar Products
−CD38 Recombinant Rabbit Monoclonal Antibody [orb704512]
FC, ICC, IF, IHC-Fr, IHC-P, WB
Human
Rabbit
Recombinant
Unconjugated
25 μl, 100 μl, 50 μlCD38 antibody [orb10319]
ICC, IF, IHC-P, WB
Guinea pig, Human, Mouse, Rat
Rabbit
Polyclonal
Unconjugated
100 μgCD38 Antibody (C-term) [orb1931372]
FC, IF, IHC-P, WB
Monkey
Human
Rabbit
Polyclonal
Unconjugated
100 μl, 50 μl

Quality Guarantee
Explore bioreagents carefree to elevate your research. All our products are rigorously tested for performance. If a product does not perform as described on its datasheet, our scientific support team will provide expert troubleshooting, a prompt replacement, or a refund. For full details, please see our Terms & Conditions and Buying Guide. Contact us at support@biorbyt.com.

HL-60 cells were subjected to SDS PAGE followed by western blot with orb625599 (CD38 Antibody) at dilution of 1:1000.

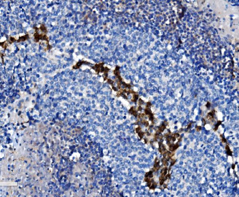
Immunohistochemistry of paraffin-embedded human tonsillitis tissue slide using orb625599 (CD38 Antibody) at dilution of 1:50.
Quick Database Links
UniProt Details
−Documents Download
Request a Document
Protocol Information
CD38 Antibody (orb625599)
Participating in our Biorbyt product reviews program enables you to support fellow scientists by sharing your firsthand experience with our products.
Login to Submit a Review


































