You have no items in your shopping cart.
CD5L Antibody
Description
Research Area
Images & Validation
−| Tested Applications | IHC-P |
|---|---|
| Dilution Range | Immunohistochemistry (FFPE): 1-2ug/ml for 30 minutes at RT |
| Reactivity | Human |
| Application Notes |
Key Properties
−| Antibody Type | Primary Antibody |
|---|---|
| Host | Mouse |
| Clonality | Monoclonal |
| Isotype | Mouse IgG2b, kappa |
| Clone No. | CD5L/2991 |
| Immunogen | A portion of amino acids 269-366 from the human protein was used as the immunogen for the CD5L antibody. |
| Purification | Protein G affinity chromatography |
| Conjugation | Unconjugated |
Storage & Handling
−| Storage | Maintain refrigerated at 2-8°C for up to 2 weeks. For long term storage store at -20°C in small aliquots to prevent freeze-thaw cycles. |
|---|---|
| Buffer/Preservatives | 0.2 mg/ml in 1X PBS with 0.1 mg/ml rAlbumin and 0.05% sodium azide |
| Expiration Date | 12 months from date of receipt. |
| Disclaimer | For research use only |
Similar Products
−CD5L Antibody [orb1410426]
IHC
Human
Mouse
Monoclonal
Unconjugated
20 μg, 100 μg, 100 μg (without BSA and Azide)Mouse CD5 Antigen Like Protein (CD5L) ELISA Kit [orb781770]
Mouse
0.32-20 ng/mL
0.135 ng/mL
48 T, 96 THuman CD5 Antigen Like Protein (CD5L) ELISA Kit [orb780648]
Human
0.16-10 ng/mL
0.054 ng/mL
96 T, 48 T

Quality Guarantee
Explore bioreagents carefree to elevate your research. All our products are rigorously tested for performance. If a product does not perform as described on its datasheet, our scientific support team will provide expert troubleshooting, a prompt replacement, or a refund. For full details, please see our Terms & Conditions and Buying Guide. Contact us at support@biorbyt.com.

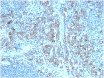
IHC staining of FFPE human tonsil with CD5L antibody. HIER: boil tissue sections in pH9 10mM Tris with 1mM EDTA for 20 min and allow to cool before testing.

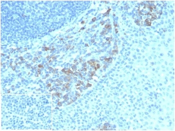
IHC staining of FFPE human tonsil with CD5L antibody. HIER: boil tissue sections in pH9 10mM Tris with 1mM EDTA for 20 min and allow to cool before testing.

Analysis of HuProt (TM) microarray containing more than 19000 full-length human proteins using CD5L antibody. These results demonstrate the foremost specificity of the CD5L/2991 mAb. Z- and S- score: The Z-score represents the strength of a signal that an antibody (in combination with a fluorescently-tagged anti-IgG secondary Ab) produces when binding to a particular protein on the HuProt (TM) array. Z-scores are described in units of standard deviations (SD's) above the mean value of all signals generated on that array. If the targets on the HuProt (TM) are arranged in descending order of the Z-score, the S-score is the difference (also in units of SD's) between the Z-scores. The S-score therefore represents the relative target specificity of an Ab to its intended target.

SDS-PAGE analysis of purified, BSA-free CD5L antibody as confirmation of integrity and purity.
Quick Database Links
UniProt Details
−Documents Download
Request a Document
CD5L Antibody (orb699503)
Participating in our Biorbyt product reviews program enables you to support fellow scientists by sharing your firsthand experience with our products.
Login to Submit a Review












