You have no items in your shopping cart.
CD66a Recombinant Rabbit Monoclonal Antibody
Description
Research Area
Images & Validation
−| Tested Applications | IF, IHC-Fr, IHC-P, WB |
|---|---|
| Dilution Range | IHC-P=1:100-500, IHC-F=1:100-500, IF=1:100-500, WB=1:500-2000 |
| Reactivity | Human |
Key Properties
−| Antibody Type | Primary Antibody |
|---|---|
| Host | Rabbit |
| Clonality | Recombinant |
| Isotype | IgG |
| Clone No. | A10D5 |
| Immunogen | A synthesized peptide derived from human CEACAM1 (480-526/526aa) |
| Target | CEACAM1 |
| Molecular Weight | 57 kDa |
| Purification | Affinity purified by Protein A |
| Conjugation | Unconjugated |
Storage & Handling
−| Storage | Maintain refrigerated at 2-8°C for up to 2 weeks. For long term storage store at -20°C in small aliquots to prevent freeze-thaw cycles. |
|---|---|
| Form/Appearance | Liquid |
| Buffer/Preservatives | 0.01M TBS (pH7.4) with 1% rAlbumin, 0.02% Proclin300 and 50% Glycerol. |
| Concentration | 1mg/ml |
| Expiration Date | 12 months from date of receipt. |
| Disclaimer | For research use only |
Alternative Names
−Similar Products
−Rabbit CEACAM1 Recombinant Monoclonal Antibody [orb1566959]
FC, ICC, IHC, IP, WB
Mouse
Rabbit
Recombinant
Unconjugated
100 μl, 10 μlRabbit CEACAM1/5 Recombinant Monoclonal Antibody [orb1519921]
FC, ICC, IHC, IP, WB
Human
Rabbit
Recombinant
Unconjugated
100 μl, 10 μlRabbit CEACAM1 Recombinant Monoclonal Antibody [orb1519773]
FC, ICC, IHC, IP, WB
Human
Rabbit
Recombinant
Unconjugated
100 μl, 10 μlRabbit CEACAM1 Recombinant Monoclonal Antibody [orb1566958]
FC, ICC, IHC, IP, WB
Mouse
Rabbit
Recombinant
Unconjugated
100 μg (BSA-free)Rabbit CEACAM1/5 Recombinant Monoclonal Antibody [orb1519920]
FC, ICC, IHC, IP, WB
Human
Rabbit
Recombinant
Unconjugated
100 μg (BSA-free)

Quality Guarantee
Explore bioreagents carefree to elevate your research. All our products are rigorously tested for performance. If a product does not perform as described on its datasheet, our scientific support team will provide expert troubleshooting, a prompt replacement, or a refund. For full details, please see our Terms & Conditions and Buying Guide. Contact us at support@biorbyt.com.

Paraformaldehyde-fixed, paraffin embedded (human colon), Antigen retrieval by boiling in sodium citrate buffer (pH6.0) for 15 min, Block endogenous peroxidase by 3% hydrogen peroxide for 20 minutes, Blocking buffer (normal goat serum) at 37°C for 30 min, Incubation with (CD66a) Monoclonal Antibody, Unconjugated (orb1152074) at 1:100 overnight at 4°C, followed by operating according to SP Kit (Rabbit) instructionsand DAB staining.

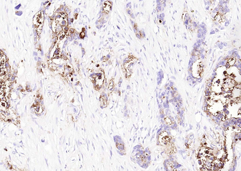
Paraformaldehyde-fixed, paraffin embedded (human pancreatic cancer), Antigen retrieval by boiling in sodium citrate buffer (pH6.0) for 15 min, Block endogenous peroxidase by 3% hydrogen peroxide for 20 minutes, Blocking buffer (normal goat serum) at 37°C for 30 min, Incubation with (CD66a) Monoclonal Antibody, Unconjugated (orb1152074) at 1:100 overnight at 4°C, followed by operating according to SP Kit (Rabbit) instructionsand DAB staining.

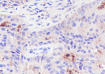
Tissue: Human colon cancer, Section type: Formalin fixed & Paraffin-embedded section, Retrieval method: High temperature and high pressure, Retrieval buffer: Tris/EDTA buffer, pH9.0 Primary ab Dilution: 1:100, Primary ab incubation condition: 1 hour at room temperature, Secondary ab: SP Kit (Rabbit), Counter stain: Hematoxylin (Blue), Comment: Color brown is the positive signal for orb1152074.
Quick Database Links
UniProt Details
−Documents Download
Request a Document
Protocol Information
CD66a Recombinant Rabbit Monoclonal Antibody (orb1152074)
Participating in our Biorbyt product reviews program enables you to support fellow scientists by sharing your firsthand experience with our products.
Login to Submit a Review



