You have no items in your shopping cart.
CD86 Antibody
Description
Research Area
Images & Validation
−| Tested Applications | IF, IHC, WB |
|---|---|
| Dilution Range | FACS: 0.5-1 μg/million cells, IF/ICC: 0.5-1 μg/ml, WB: 0.5-1 μg/ml, IHC-P: 2-4 μg/ml |
| Reactivity | Human, Mouse, Rat |
| Application Notes |
Key Properties
−| Host | Mouse |
|---|---|
| Clonality | Monoclonal |
| Isotype | IgG1 |
| Clone No. | C86/1146 |
| Immunogen | Recombinant human full-length CD86 protein |
| Target | CD86 |
| Source/Expression System | Bioreactor |
| Molecular Weight | 70kDa |
| Purification | Protein G |
| Conjugation | Unconjugated |
Storage & Handling
−| Storage | Maintain refrigerated at 2-8°C for up to 2 weeks. For long term storage store at -20°C in small aliquots to prevent freeze-thaw cycles. |
|---|---|
| Form/Appearance | 200ug/ml of Ab Purified from Bioreactor Concentrate by Protein A/G. Prepared in 10mM PBS with 0.05% rAlbumin & 0.05% azide. Also available WITHOUT rAlbumin & azide at 1.0mg/ml. |
| Expiration Date | 12 months from date of receipt. |
| Disclaimer | For research use only |
Alternative Names
−Similar Products
−PD-L1 Antibody / B7-H1 / CD274 [orb2641418]
ELISA, FACS, IF, IHC-P, WB
Human, Mouse
Mouse
Monoclonal
Unconjugated
100 μgPD-L1 Antibody / B7-H1 / CD274 [orb606675]
ELISA, FACS, IF, IHC-P, WB
Human, Mouse
Mouse
Monoclonal
Unconjugated
100 μg, 20 μgCD86 Rabbit mAb Antibody [orb1951832]
FC, ICC, IHC, IP, WB
Human, Mouse, Rat
Rabbit
Monoclonal
Unconjugated
100 μl, 50 μlRabbit CD86 Recombinant Monoclonal Antibody [orb1710829]
FC, ICC, IP, WB
Mouse
Rabbit
Recombinant
Unconjugated
100 μl, 10 μl

Quality Guarantee
Explore bioreagents carefree to elevate your research. All our products are rigorously tested for performance. If a product does not perform as described on its datasheet, our scientific support team will provide expert troubleshooting, a prompt replacement, or a refund. For full details, please see our Terms & Conditions and Buying Guide. Contact us at support@biorbyt.com.

Western blot analysis of Daudi Cell Lysate using CD86 antibody

Flow cytometric analysis of human PBMC's using CD86 antibody

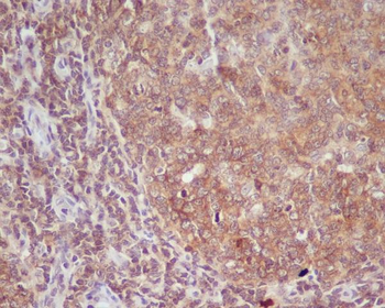
Immunohistochemical staining of human Melanoma tissue using CD86 antibody
Quick Database Links
UniProt Details
−Documents Download
Request a Document
Protocol Information
Filter by Applications
Filter by Species
Saba Ahangaran, Arash Pourgholaminejad, Rahim Nosrati, Parvin Babaei TLR4 inhibition attenuates facilitatory effects of JQ1 on learning & memory via polarization of microglia, and BDNF expression in Alzheimer's disease model Behav Brain Res, 499, 115919 (2026)
Applications
Reactivity
Guying He et al. Vesicle trafficking 1 in breast cancer tissue and serum orchestrates metastatic progression and an immunosuppressive microenvironment Int Immunopharmacol, (2026)
Applications
Reactivity
Bing Lu et al. Targeting the tumor microenvironment: reprogramming macrophages as a novel therapeutic strategy in FUOM-deficient glioblastoma Cell Death Dis ., (2026)
Applications
Reactivity
Yu X., Xu L., Zhou Y., Zhou X, Yang L., Zhou Y. NUP62CL as an Immunological and Prognostic Biomarker of Oral Squamous Cell Carcinoma Dove Medical Press, 16, 3799-3809 (2023)
Qiming Gu1 Jiali Shan1 Yan Li2 Zhengyi Lian1 Tang Liu1 Lei Yang2 Bingyi Liu1 Kefan Wu1 Xuan Li1 Qichao Ni1 Jun Fang1 DAPP1 Elevated Expression Influences Macrophages and Predicts Poor Prognosis in Breast Cancer researchsquare.com, (2025)
Applications
Reactivity
CD86 Antibody (orb388891)
Participating in our Biorbyt product reviews program enables you to support fellow scientists by sharing your firsthand experience with our products.
Login to Submit a Review

































