You have no items in your shopping cart.
CDH16 Rabbit Polyclonal Antibody
Description
Research Area
Images & Validation
−| Tested Applications | IHC, WB |
|---|---|
| Reactivity | Human |
| Predicted Reactivity | Bovine, Canine, Equine, Guinea pig, Mouse, Rabbit, Rat |
Key Properties
−| Host | Rabbit |
|---|---|
| Clonality | Polyclonal |
| Immunogen | The immunogen is a synthetic peptide directed towards the N terminal region of human CDH16 |
| Target | CDH16 |
| Protein Sequence | Synthetic peptide located within the following region: SDRDEPGTANSDLRFHILSQAPAQPSPDMFQLEPRLGALALSPKGSTSLD |
| Molecular Weight | 90 kDa |
| Purification | Affinity Purified |
| Conjugation | Unconjugated |
Storage & Handling
−| Storage | Maintain refrigerated at 2-8°C for up to 2 weeks. For long term storage store at -20°C in small aliquots to prevent freeze-thaw cycles. |
|---|---|
| Buffer/Preservatives | Liquid. Purified antibody supplied in 1x PBS buffer with 0.09% (w/v) sodium azide and 2% sucrose. |
| Concentration | 0.5 mg/ml |
| Expiration Date | 12 months from date of receipt. |
| Disclaimer | For research use only |
Similar Products
−CDH17/LI Cadherin Rabbit Polyclonal Antibody [orb11244]
IF, IHC-Fr, IHC-P, WB
Mouse
Human, Rat
Rabbit
Polyclonal
Unconjugated
50 μl, 100 μl, 200 μlCDH16 Rabbit Polyclonal Antibody [orb625358]
ELISA, IHC, WB
Human, Mouse, Rat
Rabbit
Polyclonal
Unconjugated
50 μg, 100 μgCDH17 Rabbit Polyclonal Antibody [orb625669]
ELISA, IHC, WB
Human, Mouse
Rabbit
Polyclonal
Unconjugated
50 μg, 100 μgCDH16 Antibody [orb607200]
IHC
Human, Mouse, Rat
Rabbit
Polyclonal
Unconjugated
20 μg, 100 μg, 100 μg (without BSA and Azide)

Quality Guarantee
Explore bioreagents carefree to elevate your research. All our products are rigorously tested for performance. If a product does not perform as described on its datasheet, our scientific support team will provide expert troubleshooting, a prompt replacement, or a refund. For full details, please see our Terms & Conditions and Buying Guide. Contact us at support@biorbyt.com.

Positive control (+): HepG2 (HG), Negative control (-): Human stomach (ST), Antibody concentration: 5 ug/ml.

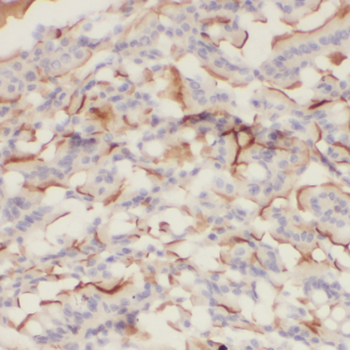
Immunohistochemistry with Kidney tissue at an antibody concentration of 5 ug/ml using anti-CDH16 antibody (orb578106).

WB Suggested Anti-CDH16 Antibody Titration: 0.2-1 ug/ml, Positive Control: Human brain.
Documents Download
Request a Document
Protocol Information
CDH16 Rabbit Polyclonal Antibody (orb578106)
Participating in our Biorbyt product reviews program enables you to support fellow scientists by sharing your firsthand experience with our products.
Login to Submit a Review









