You have no items in your shopping cart.
CDX2 Rabbit Polyclonal Antibody
Description
Research Area
Images & Validation
−| Tested Applications | IHC, WB |
|---|---|
| Dilution Range | Western Blot 1:1000 - 1:2000, Immunofluorescence 1:300 – 1:600, Immunohistochemistry (Paraffin) 1:100 – 1:200 |
| Reactivity | Human, Mouse, Rat |
| Application Notes |
Key Properties
−| Antibody Type | Primary Antibody |
|---|---|
| Host | Rabbit |
| Clonality | Polyclonal |
| Isotype | Rabbit-IgG |
| Immunogen | Synthetic peptide |
| Target | CDX2 |
| Conjugation | Unconjugated |
Storage & Handling
−| Storage | Maintain refrigerated at 2-8°C for up to 2 weeks. For long term storage store at -20°C in small aliquots to prevent freeze-thaw cycles. |
|---|---|
| Buffer/Preservatives | 100mM Tris Glycine, 20% Glycerol (pH7). 0.025% ProClin 300 was added as a preservative. |
| Expiration Date | 12 months from date of receipt. |
| Disclaimer | For research use only |
Similar Products
−CDX2 Rabbit Polyclonal Antibody [orb10449]
IF, IHC-Fr, IHC-P, WB
Bovine, Canine, Equine, Gallus, Mouse, Porcine, Rabbit, Rat
Human
Rabbit
Polyclonal
Unconjugated
50 μl, 100 μl, 200 μlCDX2 Rabbit Polyclonal Antibody [orb573816]
WB
Bovine, Canine, Equine, Guinea pig, Rabbit, Rat
Human, Mouse
Rabbit
Polyclonal
Unconjugated
100 μlCDX2+3 Rabbit Polyclonal Antibody [orb1628]
IF, IHC-Fr, IHC-P
Bovine, Equine, Gallus, Mouse, Porcine, Rat
Human
Rabbit
Polyclonal
Unconjugated
50 μl, 100 μl, 200 μlCDX2 Rabbit Polyclonal Antibody [orb632889]
ELISA, IHC, WB
Human, Mouse, Rat
Rabbit
Polyclonal
Unconjugated
50 μg, 100 μg

Quality Guarantee
Explore bioreagents carefree to elevate your research. All our products are rigorously tested for performance. If a product does not perform as described on its datasheet, our scientific support team will provide expert troubleshooting, a prompt replacement, or a refund. For full details, please see our Terms & Conditions and Buying Guide. Contact us at support@biorbyt.com.

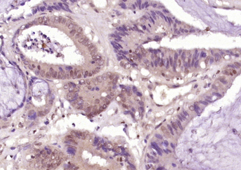
Immunohistochemical analysis of paraffin embedded Human colorectal adenocarcinoma tissue labeling CDX2 with orb1735097 at 1/100.

This blot was produced using a 12% SDS-PAGE. Nitrocellulose membrane was then blocked for an hour before being incubated with orb1735097 overnight at 4°C. Lysates/proteins at 35 µg per lane. Anti-CDX2 antibody - at 1/1000 dilution.
Quick Database Links
Documents Download
Request a Document
Protocol Information
CDX2 Rabbit Polyclonal Antibody (orb1735097)
Participating in our Biorbyt product reviews program enables you to support fellow scientists by sharing your firsthand experience with our products.
Login to Submit a Review










