You have no items in your shopping cart.
CELF2 Antibody
Description
Research Area
Images & Validation
−| Tested Applications | ELISA, IF, IHC, WB |
|---|---|
| Dilution Range | WB:1:500-5000, IHC-P:1:500-1000, IF:1:50-500 |
| Reactivity | Human |
Key Properties
−| Host | Rabbit |
|---|---|
| Clonality | Polyclonal |
| Isotype | IgG |
| Immunogen | Recombinant Human CUGBP Elav-like family member 2 protein (291-381AA) |
| Target | CELF2 |
| Purification | >95%, Protein G purified |
| Conjugation | Unconjugated |
Storage & Handling
−| Storage | Maintain refrigerated at 2-8°C for up to 2 weeks. For long term storage store at -20°C in small aliquots to prevent freeze-thaw cycles. |
|---|---|
| Form/Appearance | Liquid |
| Buffer/Preservatives | Preservative: 0.03% Proclin 300. Constituents: 50% Glycerol |
| Expiration Date | 12 months from date of receipt. |
| Disclaimer | For research use only |
Alternative Names
−Similar Products
−CUG-BP1/2 Rabbit Polyclonal Antibody [orb182891]
IF, IHC-Fr, IHC-P
Bovine, Mouse, Porcine, Rabbit, Xenopus
Human, Rat
Rabbit
Polyclonal
Unconjugated
50 μl, 100 μl, 200 μlCUGBP2 Rabbit Polyclonal Antibody [orb324846]
IHC, WB
Bovine, Canine, Equine, Guinea pig, Mouse, Rabbit, Rat, Zebrafish
Human
Rabbit
Polyclonal
Unconjugated
100 μlCELF2 Rabbit Polyclonal Antibody [orb626120]
ELISA, IHC, IP, WB
Human, Mouse, Rat, Zebrafish
Rabbit
Polyclonal
Unconjugated
50 μg, 100 μg

Quality Guarantee
Explore bioreagents carefree to elevate your research. All our products are rigorously tested for performance. If a product does not perform as described on its datasheet, our scientific support team will provide expert troubleshooting, a prompt replacement, or a refund. For full details, please see our Terms & Conditions and Buying Guide. Contact us at support@biorbyt.com.

Western blot analysis of K562(lane 1), A549(lane 2) whole cell lysate using CELF2 antibody

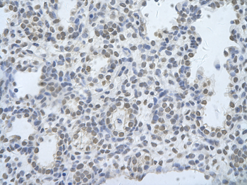
Immunohistochemical staining of human tonsil tissue using CELF2 antibody

Immunofluorescence analysis of A549 cells using CELF2 antibody

Immunohistochemical staining of human brain tissue using CELF2 antibody
Quick Database Links
UniProt Details
−Documents Download
Request a Document
Protocol Information
CELF2 Antibody (orb52503)
Participating in our Biorbyt product reviews program enables you to support fellow scientists by sharing your firsthand experience with our products.
Login to Submit a Review


















