You have no items in your shopping cart.
CENPA Antibody
Description
Research Area
Images & Validation
−| Tested Applications | ELISA, IHC |
|---|---|
| Dilution Range | IHC-P:1:10-1:100 |
| Reactivity | Human |
Key Properties
−| Host | Rabbit |
|---|---|
| Clonality | Polyclonal |
| Isotype | IgG |
| Immunogen | Peptide sequence around site of Ser (7) derived from Human Histone H3-like centromeric protein A |
| Target | CENPA |
| Purification | Antigen Affinity Purified |
| Conjugation | Unconjugated |
Storage & Handling
−| Storage | Maintain refrigerated at 2-8°C for up to 2 weeks. For long term storage store at -20°C in small aliquots to prevent freeze-thaw cycles. |
|---|---|
| Form/Appearance | Liquid |
| Buffer/Preservatives | Preservative: 0.03% Proclin 300. Constituents: 50% Glycerol |
| Expiration Date | 12 months from date of receipt. |
| Disclaimer | For research use only |
Alternative Names
−Similar Products
−CENPA Rabbit Polyclonal Antibody [orb5846]
ELISA, IF, IHC-Fr, IHC-P
Mouse, Rat
Human, Mouse
Rabbit
Polyclonal
Unconjugated
50 μl, 100 μlCENP-A (phospho Ser7) rabbit pAb Antibody [orb767385]
ELISA, IF
Human, Mouse, Rat
Polyclonal
Unconjugated
100 μl, 50 μlCENP-A rabbit pAb Antibody [orb767387]
ELISA, IF, IHC
Human, Mouse, Rat
Polyclonal
Unconjugated
100 μl, 50 μlCENPA (Phospho-S7) Antibody [orb1289873]
IF, WB
Human, Rat
Rabbit
Polyclonal
Unconjugated
200 μl, 30 μl, 100 μl, 50 μlCENP-A rabbit pAb Antibody [orb767386]
ELISA, IF, IHC
Human, Mouse, Rat
Polyclonal
Unconjugated
100 μl, 50 μl

Quality Guarantee
Explore bioreagents carefree to elevate your research. All our products are rigorously tested for performance. If a product does not perform as described on its datasheet, our scientific support team will provide expert troubleshooting, a prompt replacement, or a refund. For full details, please see our Terms & Conditions and Buying Guide. Contact us at support@biorbyt.com.

Immunohistochemistry of paraffin-embedded human cervical cancer tissue using CENPA (Ab-7) antibody

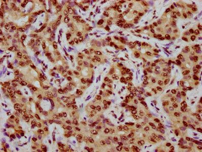
Immunohistochemistry of paraffin-embedded human liver cancer tissue using CENPA (Ab-7) antibody
Quick Database Links
UniProt Details
−Documents Download
Request a Document
Protocol Information
CENPA Antibody (orb517148)
Participating in our Biorbyt product reviews program enables you to support fellow scientists by sharing your firsthand experience with our products.
Login to Submit a Review

















