You have no items in your shopping cart.
CFHR5 Antibody
Description
Images & Validation
−| Tested Applications | FC, ICC, IHC, WB |
|---|---|
| Dilution Range | WB: 1/500 - 1/2000; IHC: 1/200 - 1/1000; IF/ICC: 1/200 - 1/1000; FCM: 1/200 - 1/400; ELISA: 1/10000 |
| Reactivity | Human, Mouse |
Key Properties
−| Antibody Type | Primary Antibody |
|---|---|
| Host | Mouse |
| Clonality | Monoclonal |
| Isotype | Mouse IgG2a |
| Clone No. | 3A10A5 |
| Immunogen | Purified recombinant fragment of human CFHR5 (AA: 344-569) expressed in E. Coli. |
| Target | CFHR5 |
| Molecular Weight | 64.4kDa |
| Conjugation | Unconjugated |
Storage & Handling
−| Storage | Maintain refrigerated at 2-8°C for up to 2 weeks. For long term storage store at -20°C in small aliquots to prevent freeze-thaw cycles. |
|---|---|
| Buffer/Preservatives | Purified antibody in PBS with 0.05% sodium azide |
| Concentration | Approximately 1mg/ml (varies from batch to batch). Please inquire for precise concentration. |
| Expiration Date | 12 months from date of receipt. |
| Disclaimer | For research use only |
Alternative Names
−Similar Products
−
Quality Guarantee
Explore bioreagents carefree to elevate your research. All our products are rigorously tested for performance. If a product does not perform as described on its datasheet, our scientific support team will provide expert troubleshooting, a prompt replacement, or a refund. For full details, please see our Terms & Conditions and Buying Guide. Contact us at support@biorbyt.com.

Immunofluorescence analysis of Hela cells using CFHR5 antibody

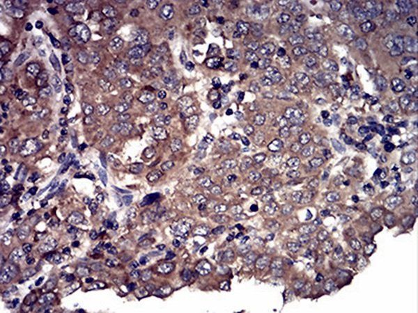
Immunohistochemical analysis of formalin-fixed and paraffin-embedded cervical cancer tissues using CFHR5 antibody

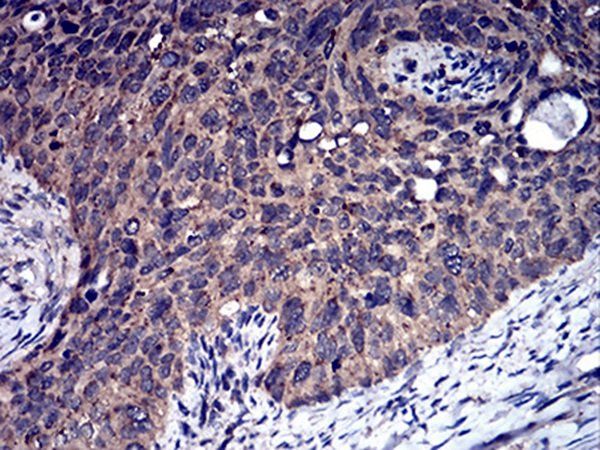
Immunohistochemical analysis of formalin-fixed and paraffin-embedded ovarian cancer tissues using CFHR5 antibody

Western blot analysis of human recombinant protein using CFHR5 antibody

Western blot analysis of HEK293 using CFHR5 antibody

Western blot analysis of HepG2 (Lane1), K562 (Lane2), L-02 (Lane3), SK-Hep-1 (Lane4), SMMC-7721 (Lane5), and NIH/3T3 (Lane6) cell lysate using CFHR5 antibody

ELISA Black line: Control Antigen (100 ng);Purple line: Antigen (10ng); Blue line: Antigen (50 ng); Red line:Antigen (100 ng)

Flow cytometric analysis of Hela cells using CFHR5 antibody
Documents Download
Request a Document
Protocol Information
CFHR5 Antibody (orb333867)
Participating in our Biorbyt product reviews program enables you to support fellow scientists by sharing your firsthand experience with our products.
Login to Submit a Review
















