You have no items in your shopping cart.
CHAF1B Antibody
Description
Images & Validation
−| Tested Applications | IF, IHC, WB |
|---|---|
| Reactivity | Human, Mouse, Rat |
| Application Notes |
Key Properties
−| Antibody Type | Primary Antibody |
|---|---|
| Host | Rabbit |
| Clonality | Polyclonal |
| Isotype | IgG |
| Immunogen | Recombinant fusion protein containing a sequence corresponding to amino acids 270-559 of human CHAF1B (NP_005432.1). |
| Target | CHAF1B |
| Molecular Weight | Observed: 70kDa |
| Purification | Affinity purification |
| Conjugation | Unconjugated |
Storage & Handling
−| Storage | Maintain refrigerated at 2-8°C for up to 2 weeks. For long term storage store at -20°C in small aliquots to prevent freeze-thaw cycles. |
|---|---|
| Form/Appearance | Liquid |
| Buffer/Preservatives | PBS with 0.02% sodium azide, 50% glycerol, pH 7.3. |
| Concentration | batch dependent |
| Expiration Date | 12 months from date of receipt. |
| Disclaimer | For research use only |
Alternative Names
−Similar Products
−CHAF1B Rabbit Polyclonal Antibody [orb579586]
WB
Bovine, Canine, Equine, Guinea pig, Porcine, Rabbit, Rat, Zebrafish
Human, Mouse
Rabbit
Polyclonal
Unconjugated
100 μlMouse Chromatin Assembly Factor 1, Subunit B (CHAF1B) ELISA Kit [orb780163]
Mouse
0.16-10 ng/mL
0.053 ng/mL
96 T, 48 TCAF-1 p60 rabbit pAb Antibody [orb770532]
ELISA, IF, IHC, WB
Human, Mouse, Rat
Polyclonal
Unconjugated
50 μl, 100 μlCHAF1B Antibody [orb1100551]
ELISA, IF, IHC, WB
Human, Mouse, Rat
Rabbit
Polyclonal
Unconjugated
50 μg, 100 μgCAF1p55/VPRBP Rabbit Polyclonal Antibody [orb1863]
FC, IF, IHC-Fr, IHC-P
Mouse, Rabbit
Human, Rat
Rabbit
Polyclonal
Unconjugated
100 μl, 200 μl, 50 μl

Quality Guarantee
Explore bioreagents carefree to elevate your research. All our products are rigorously tested for performance. If a product does not perform as described on its datasheet, our scientific support team will provide expert troubleshooting, a prompt replacement, or a refund. For full details, please see our Terms & Conditions and Buying Guide. Contact us at support@biorbyt.com.

Western blot analysis of extracts of various cell lines, using CHAF1B antibody (orb1257128) at 1:1000 dilution. Secondary antibody: HRP Goat Anti-Rabbit IgG (H+L) at 1:10000 dilution. Lysates/proteins: 25 ug per lane. Blocking buffer: 3% nonfat dry milk in TBST. Detection: ECL Enhanced Kit. Exposure time: 30s.

Immunohistochemistry of paraffin-embedded rat fallopian tube using CHAF1B antibody (orb1257128) at dilution of 1:100 (40x lens).

Immunohistochemistry of paraffin-embedded human tonsil using CHAF1B antibody (orb1257128) at dilution of 1:100 (40x lens).

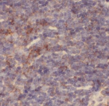
Immunohistochemistry of paraffin-embedded mouse spleen using CHAF1B antibody (orb1257128) at dilution of 1:100 (40x lens).

Immunofluorescence analysis of MCF-7 cells using CHAF1B antibody (orb1257128). Blue: DAPI for nuclear staining.
Quick Database Links
UniProt Details
−Documents Download
Request a Document
Protocol Information
CHAF1B Antibody (orb1257128)
Participating in our Biorbyt product reviews program enables you to support fellow scientists by sharing your firsthand experience with our products.
Login to Submit a Review













