You have no items in your shopping cart.
CHRNA1 Antibody
Description
Research Area
Images & Validation
−| Tested Applications | ELISA, IHC, WB |
|---|---|
| Dilution Range | WB:1:1000-1:5000, IHC-P:1:20-1:200 |
| Reactivity | Human, Rat |
Key Properties
−| Host | Rabbit |
|---|---|
| Clonality | Polyclonal |
| Isotype | IgG |
| Immunogen | Recombinant Human Acetylcholine receptor subunit alpha protein (21-255AA) |
| Target | CHRNA1 |
| Purification | >95%, Protein G purified |
| Conjugation | Unconjugated |
Storage & Handling
−| Storage | Maintain refrigerated at 2-8°C for up to 2 weeks. For long term storage store at -20°C in small aliquots to prevent freeze-thaw cycles. |
|---|---|
| Form/Appearance | Liquid |
| Buffer/Preservatives | Preservative: 0.03% Proclin 300. Constituents: 50% Glycerol |
| Expiration Date | 12 months from date of receipt. |
| Disclaimer | For research use only |
Alternative Names
−Similar Products
−Rat Cholinergic Receptor, Nicotinic, Alpha 1 (CHRNa1) ELISA Kit [orb775917]
Rat
0.32-20 ng/mL
0.121 ng/mL
96 T, 48 THuman Cholinergic Receptor, Nicotinic, Alpha 1 (CHRNa1) ELISA Kit [orb778062]
Human
0.79-50 ng/mL
0.29 ng/mL
48 T, 96 TCHRNA1 Antibody [orb522766]
ELISA, IHC, WB
Human, Mouse, Rat
Rabbit
Polyclonal
Unconjugated
50 μl, 100 μlAChRα1 rabbit pAb Antibody [orb767160]
ELISA, IF, WB
Human, Mouse, Rat
Polyclonal
Unconjugated
50 μl, 100 μlCHRNA1 Rabbit Polyclonal Antibody [orb592808]
IHC, WB
Canine, Guinea pig, Mouse, Porcine, Rabbit
Human
Rabbit
Polyclonal
Unconjugated
100 μl

Quality Guarantee
Explore bioreagents carefree to elevate your research. All our products are rigorously tested for performance. If a product does not perform as described on its datasheet, our scientific support team will provide expert troubleshooting, a prompt replacement, or a refund. For full details, please see our Terms & Conditions and Buying Guide. Contact us at support@biorbyt.com.

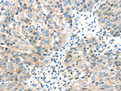
Immunohistochemistry of paraffin-embedded human skeletal muscle tissue using Acetylcholine R subunit alpha antibody

Western blot aanalysis of Rat skeletal muscleusing Acetylcholine R subunit alpha antibody
Quick Database Links
UniProt Details
−Documents Download
Request a Document
Protocol Information
CHRNA1 Antibody (orb242133)
Participating in our Biorbyt product reviews program enables you to support fellow scientists by sharing your firsthand experience with our products.
Login to Submit a Review








