You have no items in your shopping cart.
CNOT1 Antibody
Description
Research Area
Images & Validation
−| Tested Applications | ELISA, IF, IHC |
|---|---|
| Dilution Range | IHC-P:1:20-200, IF:1:50-200 |
| Reactivity | Human |
Key Properties
−| Host | Rabbit |
|---|---|
| Clonality | Polyclonal |
| Isotype | IgG |
| Immunogen | Recombinant Human CCR4-NOT transcription complex subunit 1 protein (604-867AA) |
| Target | CNOT1 |
| Purification | >95%, Protein G purified |
| Conjugation | Unconjugated |
Storage & Handling
−| Storage | Maintain refrigerated at 2-8°C for up to 2 weeks. For long term storage store at -20°C in small aliquots to prevent freeze-thaw cycles. |
|---|---|
| Form/Appearance | Liquid |
| Buffer/Preservatives | Preservative: 0.03% Proclin 300. Constituents: 50% Glycerol |
| Expiration Date | 12 months from date of receipt. |
| Disclaimer | For research use only |
Alternative Names
−Similar Products
−CNOT10 Antibody / CCR4-NOT transcription complex subunit 10 [orb2635072]
ELISA, FACS, IF, WB
Human
Mouse
Monoclonal
Unconjugated
100 μgCNOT10 Antibody / CCR4-NOT transcription complex subunit 10 [orb2635073]
ELISA, FACS, IF, WB
Human
Mouse
Monoclonal
Unconjugated
100 μg, 20 μgCNOT1 Rabbit Polyclonal Antibody [orb625898]
ELISA, IHC, IP, WB
Human, Mouse, Rat
Rabbit
Polyclonal
Unconjugated
50 μg, 100 μgCNOT1 Rabbit Polyclonal Antibody [orb666340]
IF, WB
Human, Mouse
Rabbit
Polyclonal
Unconjugated
100 μl, 50 μl, 200 μl, 30 μlCNOT1 Rabbit Polyclonal Antibody [orb2954223]
ELISA, IHC, WB
Human, Mouse, Xenopus, Zebrafish
Rabbit
Polyclonal
Unconjugated
100 μg, 50 μg

Quality Guarantee
Explore bioreagents carefree to elevate your research. All our products are rigorously tested for performance. If a product does not perform as described on its datasheet, our scientific support team will provide expert troubleshooting, a prompt replacement, or a refund. For full details, please see our Terms & Conditions and Buying Guide. Contact us at support@biorbyt.com.

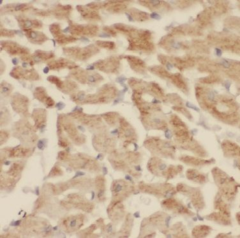
Immunohistochemistry of paraffin-embedded human kidney tissue using CNOT1 antibody

Immunofluorescent analysis of U251 cells using CNOT1 antibody
Quick Database Links
UniProt Details
−Documents Download
Request a Document
Protocol Information
CNOT1 Antibody (orb41725)
Participating in our Biorbyt product reviews program enables you to support fellow scientists by sharing your firsthand experience with our products.
Login to Submit a Review












