You have no items in your shopping cart.
COL18A1 rabbit pAb Antibody
Description
Images & Validation
−| Tested Applications | ELISA, IF, IHC |
|---|---|
| Dilution Range | Immunohistochemistry: 1/100 - 1/300. Immunofluorescence: 1/200 - 1/1000. ELISA: 1/5000. Not yet tested in other applications. |
| Reactivity | Human, Mouse |
Key Properties
−| Clonality | Polyclonal |
|---|---|
| Isotype | IgG |
| Immunogen | The antiserum was produced against synthesized peptide derived from human Collagen XVIII alpha1. AA range:801-850 |
| Molecular Weight | 178kD |
| Purification | The antibody was affinity-purified from rabbit antiserum by affinity-chromatography using epitope-specific immunogen. |
| Conjugation | Unconjugated |
Storage & Handling
−| Storage | Maintain refrigerated at 2-8°C for up to 2 weeks. For long term storage store at -20°C in small aliquots to prevent freeze-thaw cycles. |
|---|---|
| Buffer/Preservatives | PBS with 0.02% sodium azide and 50% glycerol pH 7.4. |
| Concentration | 1 mg/ml |
| Expiration Date | 12 months from date of receipt. |
| Disclaimer | For research use only |
Alternative Names
−Similar Products
−COL18A1 rabbit pAb Antibody [orb770497]
ELISA, IF, IHC
Human, Mouse
Polyclonal
Unconjugated
50 μl, 100 μlEndostatin Rabbit pAb, PerCP-Cy7 conjugated [orb2851798]
IF
Rat
Human, Mouse
Rabbit
Polyclonal
PerCP/Cy7
100 μlEndostatin Rabbit pAb, Pacific Blue conjugated [orb2851799]
IF
Rat
Human, Mouse
Rabbit
Polyclonal
Pacific Blue
100 μlEndostatin Rabbit pAb, IRDye 800CW conjugated [orb2851801]
WB
Rat
Human, Mouse
Rabbit
Polyclonal
IRDye800
100 μl

Quality Guarantee
Explore bioreagents carefree to elevate your research. All our products are rigorously tested for performance. If a product does not perform as described on its datasheet, our scientific support team will provide expert troubleshooting, a prompt replacement, or a refund. For full details, please see our Terms & Conditions and Buying Guide. Contact us at support@biorbyt.com.

Immunofluorescence analysis of A549 cells, using Collagen XVIII alpha1 Antibody. The picture on the right is blocked with the synthesized peptide.

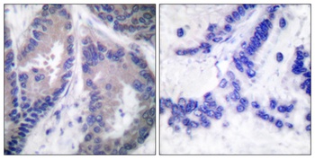
Immunohistochemistry analysis of paraffin-embedded human liver carcinoma tissue, using Collagen XVIII alpha1 Antibody. The picture on the right is blocked with the synthesized peptide.

Western blot analysis of the lysates from HeLa cells using AIM2 antibody.
Documents Download
Request a Document
Protocol Information
COL18A1 rabbit pAb Antibody (orb770498)
Participating in our Biorbyt product reviews program enables you to support fellow scientists by sharing your firsthand experience with our products.
Login to Submit a Review
