You have no items in your shopping cart.
Col1a1 Antibody
Description
Research Area
Images & Validation
−| Tested Applications | ELISA, IHC |
|---|---|
| Dilution Range | IHC-P:1:20-200 |
| Reactivity | Human, Rat |
Key Properties
−| Host | Rabbit |
|---|---|
| Clonality | Polyclonal |
| Isotype | IgG |
| Immunogen | Recombinant Rat Collagen alpha-1(I) chain protein (955-1207AA) |
| Target | Col1a1 |
| Purification | >95%, Protein G purified |
| Conjugation | Unconjugated |
Storage & Handling
−| Storage | Maintain refrigerated at 2-8°C for up to 2 weeks. For long term storage store at -20°C in small aliquots to prevent freeze-thaw cycles. |
|---|---|
| Form/Appearance | Liquid |
| Buffer/Preservatives | Preservative: 0.03% Proclin 300. Constituents: 50% Glycerol |
| Expiration Date | 12 months from date of receipt. |
| Disclaimer | For research use only |
Alternative Names
−Similar Products
−Collagen I/COL1A1 Rabbit Polyclonal Antibody [orb371672]
IF, IHC, WB
Human
Rabbit
Polyclonal
Unconjugated
100 μgCOL1A1 Rabbit Polyclonal Antibody [orb1294293]
IF, IHC, WB
Human, Mouse, Rat
Rabbit
Polyclonal
Unconjugated
100 μl, 25 μlCollagen I/COL1A1 Rabbit Polyclonal Antibody [orb107158]
ICC, IF, IHC, WB
Human, Mouse, Rat
Rabbit
Polyclonal
Unconjugated
100 μgCollagen I Rabbit Polyclonal Antibody [orb182761]
FC, ICC, IF, IHC-Fr, IHC-P, WB
Bovine, Canine, Gallus, Sheep
Human, Mouse, Rat
Rabbit
Polyclonal
Unconjugated
50 μl, 100 μl, 200 μl

Quality Guarantee
Explore bioreagents carefree to elevate your research. All our products are rigorously tested for performance. If a product does not perform as described on its datasheet, our scientific support team will provide expert troubleshooting, a prompt replacement, or a refund. For full details, please see our Terms & Conditions and Buying Guide. Contact us at support@biorbyt.com.

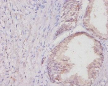
Immunohistochemistry of paraffin-embedded human colon cancer tissue using Collagen I antibody

Immunohistochemistry of paraffin-embedded human colon cancer tissue using Collagen I antibody
Quick Database Links
UniProt Details
−Documents Download
Request a Document
Protocol Information
Filter by Applications
Filter by Species
Halil Büyükdoğan 1, Cemil Ertürk 1, Erdal Eren 2, Çiğdem Öztürk 3, Burak Yıldırım 4, Tahir Burak Sarıtaş 5, Metehan Demirkol The impact of N-acetylcysteine on early periods of tendon healing: histopathologic, immunohistochemical, and biomechanical analysis in a rat model Connect Tissue Res, (2025)
Applications
Reactivity
Col1a1 Antibody (orb241216)
Participating in our Biorbyt product reviews program enables you to support fellow scientists by sharing your firsthand experience with our products.
Login to Submit a Review






































