You have no items in your shopping cart.
COL3A1/Collagen III Antibody
Description
Images & Validation
−| Tested Applications | ELISA, IHC-P |
|---|---|
| Dilution Range | ELISA, IHC-P (5 µg/ml) |
| Reactivity | Human, Mouse, Rat |
Key Properties
−| Host | Rabbit |
|---|---|
| Clonality | Polyclonal |
| Isotype | IgG |
| Immunogen | Recombinant human COL3A1. |
| Target | COL3A1 / Collagen III |
| Purification | Affinity purification |
| Conjugation | Unconjugated |
Storage & Handling
−| Storage | Maintain refrigerated at 2-8°C for up to 2 weeks. For long term storage store at -20°C in small aliquots to prevent freeze-thaw cycles. |
|---|---|
| Buffer/Preservatives | PBS, pH 7.4, 0.05% Sodium Azide, 50% Glycerol |
| Concentration | 0.6 mg/ml |
| Expiration Date | 12 months from date of receipt. |
| Disclaimer | For research use only |
Alternative Names
−Similar Products
−Collagen Type III Antibody [orb345349]
DOT, ELISA, IHC, IP, WB
Bovine, Human, Porcine
Rabbit
Polyclonal
Unconjugated
100 μgCollagen Type III Antibody [orb345350]
DOT, ELISA, IHC, IP, WB
Bovine, Human, Porcine
Rabbit
Polyclonal
Unconjugated
500 μgCollagen Type III Antibody [orb345351]
DOT, ELISA, IHC, IP, WB
Bovine, Human, Porcine
Rabbit
Polyclonal
Unconjugated
25 μlCollagen III/COL3A1 Mouse Monoclonal Antibody [orb547486]
IHC, WB
Human, Mouse, Rat
Mouse
Monoclonal
Unconjugated
100 μgCollagen III Rabbit Polyclonal Antibody [orb10438]
FC, ICC, WB
Bovine, Canine, Gallus
Human
Rabbit
Polyclonal
Unconjugated
50 μl, 100 μl, 200 μl

Quality Guarantee
Explore bioreagents carefree to elevate your research. All our products are rigorously tested for performance. If a product does not perform as described on its datasheet, our scientific support team will provide expert troubleshooting, a prompt replacement, or a refund. For full details, please see our Terms & Conditions and Buying Guide. Contact us at support@biorbyt.com.

Human Kidney: Formalin-Fixed, Paraffin-Embedded (FFPE)

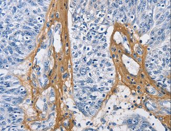
Immunohistochemistry of paraffin-embedded Human cervical cancer using COL3A1 Polyclonal Antibody at dilution of 1:60.
Quick Database Links
Documents Download
Request a Document
Protocol Information
COL3A1/Collagen III Antibody (orb1537190)
Participating in our Biorbyt product reviews program enables you to support fellow scientists by sharing your firsthand experience with our products.
Login to Submit a Review






































