You have no items in your shopping cart.
COL5A1 rabbit pAb Antibody
Description
Images & Validation
−| Tested Applications | ELISA, IF, IHC, WB |
|---|---|
| Dilution Range | Western Blot: 1/500 - 1/2000. Immunohistochemistry: 1/100 - 1/300. Immunofluorescence: 1/200 - 1/1000. ELISA: 1/20000. Not yet tested in other applications. |
| Reactivity | Human, Mouse, Rat |
Key Properties
−| Clonality | Polyclonal |
|---|---|
| Isotype | IgG |
| Immunogen | The antiserum was produced against synthesized peptide derived from human Collagen V alpha1. AA range:301-350 |
| Molecular Weight | 200 |
| Purification | The antibody was affinity-purified from rabbit antiserum by affinity-chromatography using epitope-specific immunogen. |
| Conjugation | Unconjugated |
Storage & Handling
−| Storage | Maintain refrigerated at 2-8°C for up to 2 weeks. For long term storage store at -20°C in small aliquots to prevent freeze-thaw cycles. |
|---|---|
| Buffer/Preservatives | PBS with 0.02% sodium azide and 50% glycerol pH 7.4. |
| Concentration | 1 mg/ml |
| Expiration Date | 12 months from date of receipt. |
| Disclaimer | For research use only |
Alternative Names
−Similar Products
−COL5A1 Rabbit pAb, PerCP-Cy7 conjugated [orb2847863]
IF
Bovine, Canine, Gallus, Porcine, Rabbit, Sheep
Human, Mouse, Rat
Rabbit
Polyclonal
PerCP/Cy7
100 μlCOL5A1 Rabbit pAb, Pacific Blue conjugated [orb2847864]
IF
Bovine, Canine, Gallus, Porcine, Rabbit, Sheep
Human, Mouse, Rat
Rabbit
Polyclonal
Pacific Blue
100 μlCOL5A1 Rabbit pAb, BF700 conjugated [orb2847865]
IF
Bovine, Canine, Gallus, Porcine, Rabbit, Sheep
Human, Mouse, Rat
Rabbit
Polyclonal
BF700
100 μlCOL5A1 Rabbit pAb, IRDye 800CW conjugated [orb2847866]
WB
Bovine, Canine, Gallus, Porcine, Rabbit, Sheep
Human, Mouse, Rat
Rabbit
Polyclonal
IRDye800
100 μl

Quality Guarantee
Explore bioreagents carefree to elevate your research. All our products are rigorously tested for performance. If a product does not perform as described on its datasheet, our scientific support team will provide expert troubleshooting, a prompt replacement, or a refund. For full details, please see our Terms & Conditions and Buying Guide. Contact us at support@biorbyt.com.

Western Blot analysis of various cells using COL5A1 Polyclonal Antibody.

Immunofluorescence analysis of HeLa cells, using Collagen V alpha1 Antibody. The picture on the right is blocked with the synthesized peptide.

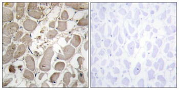
Immunohistochemistry analysis of paraffin-embedded human heart tissue, using Collagen V alpha1 Antibody. The picture on the right is blocked with the synthesized peptide.

Western blot analysis of lysates from HeLa, and HUVEC, and HepG2 cells, using Collagen V alpha1 Antibody. The lane on the right is blocked with the synthesized peptide.
Documents Download
Request a Document
Protocol Information
COL5A1 rabbit pAb Antibody (orb764900)
Participating in our Biorbyt product reviews program enables you to support fellow scientists by sharing your firsthand experience with our products.
Login to Submit a Review