You have no items in your shopping cart.
COL6A1 Antibody
Description
Images & Validation
−| Tested Applications | ELISA, IHC, IP, WB |
|---|---|
| Dilution range | WB: 1:500-1:1000; IP: 1:500-1:1000; IHC: 1:50-1:200 |
| Reactivity | Human, Mouse, Rat |
Key Properties
−| Antibody Type | Primary Antibody |
|---|---|
| Host | Rabbit |
| Clonality | Polyclonal |
| Isotype | IgG |
| Immunogen | collagen, type VI, alpha 1 |
| Target | COL6A1 |
| Molecular Weight | 140 kDa |
| Purity | ≥95% as determined by SDS-PAGE |
| Purification | Immunogen affinity purified |
| Conjugation | Unconjugated |
Storage & Handling
−| Storage | Maintain refrigerated at 2-8°C for up to 2 weeks. For long term storage store at -20°C in small aliquots to prevent freeze-thaw cycles. |
|---|---|
| Form/Appearance | liquid |
| Disclaimer | For research use only |
Alternative Names
−Similar Products
−COL6A1 Antibody (C-term) [orb1929960]
FC, IF, IHC-P, WB
Human, Mouse
Rabbit
Polyclonal
Unconjugated
100 μl, 50 μlCollagen VI alpha 1 Rabbit Polyclonal Antibody [orb5898]
IF, IHC-Fr, IHC-P, WB
Rabbit
Human, Mouse, Rat
Rabbit
Polyclonal
Unconjugated
100 μl, 50 μl, 200 μlMouse Collagen Type VI Alpha 1 (COL6a1) ELISA Kit [orb780024]
Mouse
0.63-40 ng/mL
0.197 ng/mL
48 T, 96 T

Quality Guarantee
Explore bioreagents carefree to elevate your research. All our products are rigorously tested for performance. If a product does not perform as described on its datasheet, our scientific support team will provide expert troubleshooting, a prompt replacement, or a refund. For full details, please see our Terms & Conditions and Buying Guide. Contact us at support@biorbyt.com.

IP Result of anti-Collagen Type VI (IP: orb625930, 4 ug; Detection: orb625930 1:500) with mouse heart tissue lysate 8000 ug.

human heart tissue were subjected to SDS PAGE followed by western blot with orb625930 (COL6A1 Antibody) at dilution of 1:600.

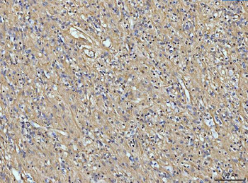
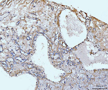
Immunohistochemistry of paraffin-embedded human kidney using orb625930 (COL6A1 antibody) at dilution of 1:100.
Quick Database Links
UniProt Details
−Documents Download
Request a Document
Protocol Information
COL6A1 Antibody (orb625930)
Participating in our Biorbyt product reviews program enables you to support fellow scientists by sharing your firsthand experience with our products.
Login to Submit a Review















