You have no items in your shopping cart.
COL6A2 Antibody
Description
Research Area
Images & Validation
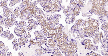
−| Tested Applications | ELISA, IHC |
|---|---|
| Dilution range | IHC-P:1:20-200 |
| Reactivity | Human |
Key Properties
−| Host | Rabbit |
|---|---|
| Clonality | Polyclonal |
| Isotype | IgG |
| Immunogen | Recombinant Human Collagen alpha-2(VI) chain protein (254-400AA) |
| Target | COL6A2 |
| Purification | >95%, Protein G purified |
| Conjugation | Unconjugated |
Storage & Handling
−| Storage | Maintain refrigerated at 2-8°C for up to 2 weeks. For long term storage store at -20°C in small aliquots to prevent freeze-thaw cycles. |
|---|---|
| Form/Appearance | Liquid |
| Buffer/Preservatives | Preservative: 0.03% Proclin 300. Constituents: 50% Glycerol |
| Disclaimer | For research use only |
Alternative Names
−Similar Products
−Collagen VI/COL6A2 Rabbit Polyclonal Antibody [orb1098104]
ELISA, IHC, WB
Human
Rabbit
Polyclonal
Unconjugated
100 μgCOL6A2 rabbit pAb Antibody [orb767622]
ELISA, IF, IHC, WB
Human, Monkey, Mouse
Polyclonal
Unconjugated
50 μl, 100 μlCollagen VI Recombinant Rabbit Monoclonal Antibody [orb2563061]
IF, IHC-Fr, IHC-P, WB
Mouse, Rat
Human, Mouse, Rat
Rabbit
Recombinant
Unconjugated
25 μl, 50 μl, 100 μl

Quality Guarantee
Explore bioreagents carefree to elevate your research. All our products are rigorously tested for performance. If a product does not perform as described on its datasheet, our scientific support team will provide expert troubleshooting, a prompt replacement, or a refund. For full details, please see our Terms & Conditions and Buying Guide. Contact us at support@biorbyt.com.

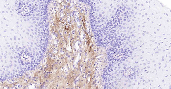
Immunohistochemistry of paraffin-embedded human bladder cancer tissue using COL6A2 antibody
Quick Database Links
UniProt Details
−Documents Download
Request a Document
Protocol Information
COL6A2 Antibody (orb414685)
Participating in our Biorbyt product reviews program enables you to support fellow scientists by sharing your firsthand experience with our products.
Login to Submit a Review















