You have no items in your shopping cart.
Collagen IV Rabbit Polyclonal Antibody
Description
Images & Validation
−| Tested Applications | IF, IHC, WB |
|---|---|
| Dilution Range | Western Blot 1:1000 - 1:1500, Immunofluorescence 1:300 – 1:500, Immunohistochemistry (Paraffin) 1:100 – 1:200 |
| Reactivity | Human, Mouse, Rat |
Key Properties
−| Antibody Type | Primary Antibody |
|---|---|
| Host | Rabbit |
| Clonality | Polyclonal |
| Isotype | Rabbit-IgG |
| Immunogen | Synthetic peptide |
| Target | Collagen IV /COL4A1 |
| Conjugation | Unconjugated |
Storage & Handling
−| Storage | Maintain refrigerated at 2-8°C for up to 2 weeks. For long term storage store at -20°C in small aliquots to prevent freeze-thaw cycles. |
|---|---|
| Buffer/Preservatives | 100mM Tris Glycine, 20% Glycerol (pH7). 0.025% ProClin 300 was added as a preservative |
| Expiration Date | 12 months from date of receipt. |
| Disclaimer | For research use only |
Similar Products
−Collagen I Rabbit Polyclonal Antibody [orb182761]
FC, ICC, IF, IHC-Fr, IHC-P, WB
Bovine, Canine, Gallus, Sheep
Human, Mouse, Rat
Rabbit
Polyclonal
Unconjugated
50 μl, 100 μl, 200 μlCD36 Rabbit Polyclonal Antibody [orb10321]
FC, IF, IHC-Fr, IHC-P, IP, WB
Mouse, Rat
Human, Mouse, Rat
Rabbit
Polyclonal
Unconjugated
50 μl, 100 μlCOL4A2 rabbit pAb Antibody [orb767611]
ELISA, IF, IHC, WB
Human, Mouse
Polyclonal
Unconjugated
50 μl, 100 μlCOL4A1 rabbit pAb Antibody [orb764898]
ELISA, IF, IHC, WB
Human, Mouse
Polyclonal
Unconjugated
100 μl, 50 μl

Quality Guarantee
Explore bioreagents carefree to elevate your research. All our products are rigorously tested for performance. If a product does not perform as described on its datasheet, our scientific support team will provide expert troubleshooting, a prompt replacement, or a refund. For full details, please see our Terms & Conditions and Buying Guide. Contact us at support@biorbyt.com.

COL4A1 / Collagen IV antibody - at 1/1000 dilution. Lysates at 40 µg per lane. This blot was produced using a 5% SDS-PAGE. Nitrocellulose membrane was then blocked before being incubated with orb1735106 overnight at 4°C.

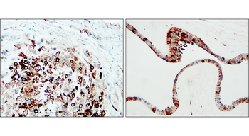
Immunohistochemical analysis of paraffin embedded Human placenta labeling COL4A1 / Collagen IV with orb1735106 at 1/100.

Immunohistochemical analysis of paraffin embedded Human placenta labeling COL4A1 / Collagen IV with orb1735106 at 1/100.

Immunohistochemical analysis of paraffin embedded mouse tissue labeling COL4A1 / Collagen IV with orb1735106 at 1/100.
Quick Database Links
Documents Download
Request a Document
Protocol Information
Collagen IV Rabbit Polyclonal Antibody (orb1735106)
Participating in our Biorbyt product reviews program enables you to support fellow scientists by sharing your firsthand experience with our products.
Login to Submit a Review




















