You have no items in your shopping cart.
Collagen VI α3 Antibody
SKU: orb223257
Description
Research Area
Epigenetics
Images & Validation
−Item 1 of 2
| Tested Applications | IF, IHC |
|---|---|
| Dilution Range | IHC-P: 1:50-1:100, IF/ICC: 1:100-1:500, ELISA: 1:40000 |
| Reactivity | Human, Mouse |
Key Properties
−| Host | Rabbit |
|---|---|
| Clonality | Polyclonal |
| Immunogen | Internal |
| Conjugation | Unconjugated |
Storage & Handling
−| Storage | Maintain refrigerated at 2-8°C for up to 2 weeks. For long term storage store at -20°C in small aliquots to prevent freeze-thaw cycles. |
|---|---|
| Concentration | 1mg/ml |
| Expiration Date | 12 months from date of receipt. |
| Disclaimer | For research use only |
Alternative Names
−anti COL6A1 antibody, anti Collagen alpha-1(VI) chain antibody, anti Collagen VI, alpha 1 polypeptide antibody, anti Collagen, intimal short chain collagen antibody, anti Collagen, type VI, alpha 1 antibody, anti OPLL antibody
Similar Products
−
Quality Guarantee
Explore bioreagents carefree to elevate your research. All our products are rigorously tested for performance. If a product does not perform as described on its datasheet, our scientific support team will provide expert troubleshooting, a prompt replacement, or a refund. For full details, please see our Terms & Conditions and Buying Guide. Contact us at support@biorbyt.com.

Immunofluorescence analysis of HeLa cells using Collagen VI α3 antibody.

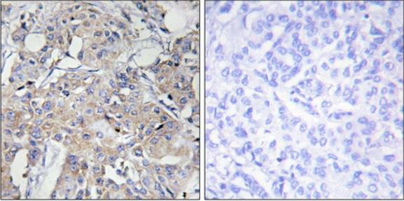
Immunohistochemistry analysis of human breast carcinoma tissue using Collagen VI α3 antibody.
Quick Database Links
UniProt
UniProt Details
− No UniProt data available
Documents Download
Datasheet
Product Information
Request a Document
Protocol Information
IHC
Immunohistochemistry
IF
Immunofluorescence
Collagen VI α3 Antibody (orb223257)
Based on 0 reviews
Participating in our Biorbyt product reviews program enables you to support fellow scientists by sharing your firsthand experience with our products.
Login to Submit a Review

