You have no items in your shopping cart.
COX4I1 Antibody
Description
Research Area
Images & Validation
−| Tested Applications | ELISA, IHC, WB |
|---|---|
| Dilution Range | WB:1:1000-5000, IHC-P:1:20-200 |
| Reactivity | Human, Rat, Zebrafish |
Key Properties
−| Host | Rabbit |
|---|---|
| Clonality | Polyclonal |
| Isotype | IgG |
| Immunogen | Recombinant Human Cytochrome c oxidase subunit 4 isoform 1, mitochondrial protein (23-169AA) |
| Target | COX4I1 |
| Purification | >95%, Protein G purified |
| Conjugation | Unconjugated |
Storage & Handling
−| Storage | Maintain refrigerated at 2-8°C for up to 2 weeks. For long term storage store at -20°C in small aliquots to prevent freeze-thaw cycles. |
|---|---|
| Form/Appearance | Liquid |
| Buffer/Preservatives | Preservative: 0.03% Proclin 300. Constituents: 50% Glycerol |
| Expiration Date | 12 months from date of receipt. |
| Disclaimer | For research use only |
Alternative Names
−Similar Products
−COX4I1 Mouse Monoclonal Antibody (Mitochondrial Loading Control) [orb423160]
IF, IHC-Fr, IHC-P, WB
Mouse, Rat
Human, Mouse, Rat
Mouse
Monoclonal
Unconjugated
500 μl, 100 μl, 50 μl, 200 μgCOX IV/COX4I1 Rabbit Polyclonal Antibody [orb412995]
ELISA, FC, ICC, IF, IHC, WB
Human, Mouse, Rat
Rabbit
Polyclonal
Unconjugated
100 μgCOX4I1 Rabbit Polyclonal Antibody [orb330257]
IHC-P, WB
Bovine, Canine, Equine, Guinea pig, Mouse, Rabbit, Rat
Human
Rabbit
Polyclonal
Unconjugated
100 μlCOX IV/COX4I1 Rabbit Polyclonal Antibody [orb1145826]
IHC, WB
Human, Mouse, Rat
Rabbit
Polyclonal
Unconjugated
100 μg

Quality Guarantee
Explore bioreagents carefree to elevate your research. All our products are rigorously tested for performance. If a product does not perform as described on its datasheet, our scientific support team will provide expert troubleshooting, a prompt replacement, or a refund. For full details, please see our Terms & Conditions and Buying Guide. Contact us at support@biorbyt.com.

Western blot analysis of rat brain tissue using Cytochrome C antibody

Western blot analysis of Rats muscle tissue using Cytochrome C antibody

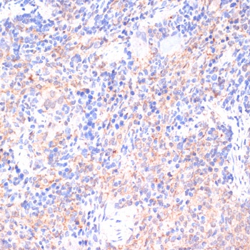
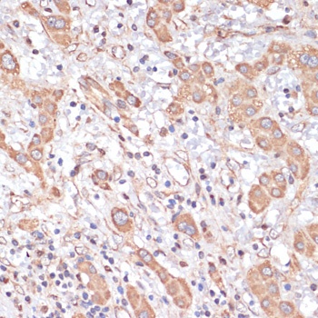
Immunohistochemical staining of human gastric cancer using Cytochrome C antibody

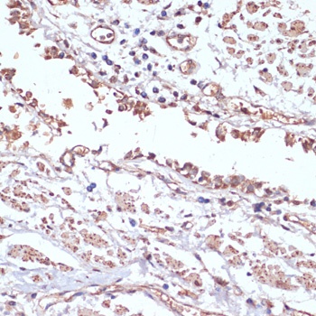
Immunohistochemical staining of human colon cancer using Cytochrome C antibody
Quick Database Links
UniProt Details
−Documents Download
Request a Document
Protocol Information
COX4I1 Antibody (orb239876)
Participating in our Biorbyt product reviews program enables you to support fellow scientists by sharing your firsthand experience with our products.
Login to Submit a Review


















































