You have no items in your shopping cart.
CPSF6 Antibody
Description
Research Area
Images & Validation
−| Tested Applications | ELISA, IHC, IP, WB |
|---|---|
| Dilution Range | WB: 1:500-1:2000; IP: 1:200-1:1000; IHC: 1:20-1:200 |
| Reactivity | Human, Mouse, Rat |
Key Properties
−| Antibody Type | Primary Antibody |
|---|---|
| Host | Rabbit |
| Clonality | Polyclonal |
| Isotype | IgG |
| Immunogen | cleavage and polyadenylation specific factor 6, 68kDa |
| Target | CPSF6 |
| Molecular Weight | 55-68 kDa |
| Purity | ≥95% as determined by SDS-PAGE |
| Purification | Immunogen affinity purified |
| Conjugation | Unconjugated |
Storage & Handling
−| Storage | Maintain refrigerated at 2-8°C for up to 2 weeks. For long term storage store at -20°C in small aliquots to prevent freeze-thaw cycles. |
|---|---|
| Form/Appearance | liquid |
| Disclaimer | For research use only |
Alternative Names
−Similar Products
−CPSF6 Rabbit Polyclonal Antibody [orb865377]
ELISA, ICC, IF, IHC, WB
Human, Monkey, Mouse, Rat
Rabbit
Polyclonal
Unconjugated
100 μgCPSF6 Mouse Monoclonal Antibody [orb1184752]
FC, ICC, IF, IHC, WB
Human, Monkey, Mouse, Rat
Mouse
Monoclonal
Unconjugated
100 μgCPSF6 Antibody (N-term) [orb1931784]
WB
Bovine, Gallus, Mouse, Xenopus, Zebrafish
Human
Rabbit
Polyclonal
Unconjugated
100 μl, 50 μlCPSF6 Rabbit Polyclonal Antibody [orb577736]
IF, IHC, WB
Bovine, Canine, Equine, Guinea pig, Mouse, Rabbit, Rat, Zebrafish
Human
Rabbit
Polyclonal
Unconjugated
100 μl

Quality Guarantee
Explore bioreagents carefree to elevate your research. All our products are rigorously tested for performance. If a product does not perform as described on its datasheet, our scientific support team will provide expert troubleshooting, a prompt replacement, or a refund. For full details, please see our Terms & Conditions and Buying Guide. Contact us at support@biorbyt.com.

IP Result of anti-CPSF6 (IP: orb626008, 4 ug; Detection: orb626008 1:300) with HeLa cells lysate 3200 ug.

HeLa cells were subjected to SDS PAGE followed by western blot with orb626008 (CPSF6 antibody) at dilution of 1:100.

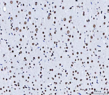
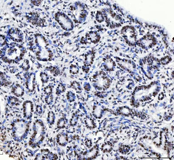
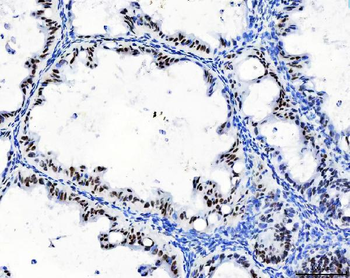
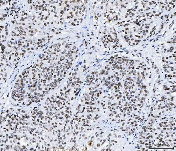
Immunohistochemistry of paraffin-embedded human kidney using orb626008 (CPSF6 antibody) at dilution of 1:50.
Quick Database Links
UniProt Details
−Documents Download
Request a Document
Protocol Information
CPSF6 Antibody (orb626008)
Participating in our Biorbyt product reviews program enables you to support fellow scientists by sharing your firsthand experience with our products.
Login to Submit a Review





























