You have no items in your shopping cart.
Cpt1a antibody
Description
Images & Validation
−| Tested Applications | ICC, IF, IHC-P, WB |
|---|---|
| Dilution Range | IHC-P: 1:100-500, IF/ICC: 1:100-500, WB: 1:200-1500 |
| Reactivity | Human, Mouse, Rat |
Key Properties
−| Host | Rabbit |
|---|---|
| Clonality | Polyclonal |
| Isotype | IgG |
| Immunogen | KLH conjugated synthetic peptide derived from human Cpt1a. Please contact us for the exact immunogen sequence. The peptide is available as orb13117. |
| Target | Cpt1a. This antibpdy has specificity with Cpt1a. |
| Molecular Weight | 88 kDa |
| Purity | Polyclonal antibodies are purified by peptide affinity chromatography |
| Conjugation | Unconjugated |
Storage & Handling
−| Storage | Maintain refrigerated at 2-8°C for up to 2 weeks. For long term storage store at -20°C in small aliquots to prevent freeze-thaw cycles. |
|---|---|
| Form/Appearance | 10 mM PBS, 0.02% sodium azide |
| Concentration | - 100 μg (in 200 μl): 0.5 mg/ml- 200 μg (in 400 μl): 0.5 mg/ml |
| Expiration Date | 12 months from date of receipt. |
| Disclaimer | For research use only |
Similar Products
−CPT1A Rabbit Polyclonal Antibody [orb579286]
IHC, WB
Bovine, Canine, Equine, Guinea pig, Mouse, Rabbit, Rat, Sheep, Zebrafish
Human
Rabbit
Polyclonal
Unconjugated
100 μlCPT1A Rabbit Polyclonal Antibody [orb1098014]
ELISA, FC, ICC, IF, IHC, WB
Human, Mouse, Rat
Rabbit
Polyclonal
Unconjugated
100 μgHuman Carnitine Palmitoyltransferase 1A, Liver (CPT1A) ELISA Kit [orb776937]
Human
0.16-10 ng/mL
0.056 ng/mL
96 T, 48 TRat Carnitine Palmitoyltransferase 1A, Liver (CPT1A) ELISA Kit [orb780867]
Rat
3.13-200 ng/mL
1.23 ng/mL
96 T, 48 TMouse Carnitine Palmitoyltransferase 1A, Liver (CPT1A) ELISA Kit [orb780350]
Mouse
0.16-10 ng/mL
0.062 ng/mL
96 T, 48 T

Quality Guarantee
Explore bioreagents carefree to elevate your research. All our products are rigorously tested for performance. If a product does not perform as described on its datasheet, our scientific support team will provide expert troubleshooting, a prompt replacement, or a refund. For full details, please see our Terms & Conditions and Buying Guide. Contact us at support@biorbyt.com.

IHC-P staining of human lung cancer tissue using anti-Cpt1a (2.5 ug/ml)

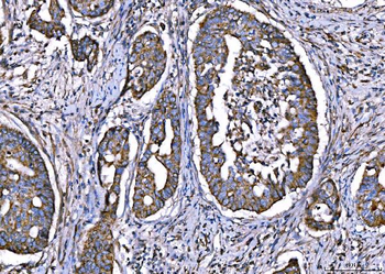
Immunohistochemical staining of human ovarian cancer tissue using anti-Cpt1a (2.5 ug/ml)

Immunofluorescence image of human ovarian cancer tissue using anti-Cpt1a (2.5 ug/ml)

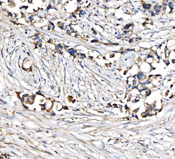
IHC-P staining of rat spleen tissue using Cpt1a antibody (2.5 ug/ml)

IF image of human ovarian cancer tissue using anti-Cpt1a (2.5 ug/ml)

WB analysis of rat kidney (lane 1), rat heart (lane 2), rat spleen (lane 3), human lung cancer (lane 4), human breast cancer (lane 5); human ovarian cancer (lane 6) using Cpt1a antibody (1 ug/ml)

Immunohistochemical staining of paraffin embedded human ovarian cancer tissue using anti-Cpt1a (2.5 ug/ml)
Quick Database Links
Documents Download
Request a Document
Protocol Information
Filter by Applications
Filter by Species
Kang-Yu Tai 1, Chih-Lung Chen 2, Sabrina Mai-Yi Fan 3, Chen-Hsiang Kuan 4, Chun-Kai Lin 2, Hsin-Wen Huang 2, Hao-Wei Lee 2, Shiou-Han Wang 5, Nai-Wen Chang 3, Jian-Da Lin 6, Che-Feng Chang 7, Kai-Chien Yang 8, Maksim V Plikus 9, Sung-Jan Lin 10 Adipocyte lipolysis activates epithelial stem cells for hair regeneration through fatty acid metabolic signaling Cell Metab, (2025)
Applications
Reactivity
Cpt1a antibody (orb385457)
Participating in our Biorbyt product reviews program enables you to support fellow scientists by sharing your firsthand experience with our products.
Login to Submit a Review


















