You have no items in your shopping cart.
CRKL Rabbit Polyclonal Antibody
Description
Research Area
Images & Validation
−| Tested Applications | WB |
|---|---|
| Reactivity | Human |
| Predicted Reactivity | Human |
Key Properties
−| Host | Rabbit |
|---|---|
| Clonality | Polyclonal |
| Immunogen | The immunogen is a synthetic peptide directed towards the middle region of Human CRKL |
| Target | CRKL |
| Protein Sequence | Synthetic peptide located within the following region: RSSPHGKHGNRNSNSYGIPEPAHAYAQPQTTTPLPAVSGSPGAAITPLPS |
| Molecular Weight | 34kDa |
| Purification | Affinity Purified |
| Conjugation | Unconjugated |
Storage & Handling
−| Storage | Maintain refrigerated at 2-8°C for up to 2 weeks. For long term storage store at -20°C in small aliquots to prevent freeze-thaw cycles. |
|---|---|
| Buffer/Preservatives | Liquid. Purified antibody supplied in 1x PBS buffer with 0.09% (w/v) sodium azide and 2% sucrose. |
| Concentration | 0.5 mg/ml |
| Expiration Date | 12 months from date of receipt. |
| Disclaimer | For research use only |
Similar Products
−Crk-L rabbit pAb Antibody [orb764928]
ELISA, IF, IHC, WB
Human, Monkey, Mouse, Rat
Polyclonal
Unconjugated
100 μl, 50 μlCrk-L (phospho Tyr207) rabbit pAb Antibody [orb764392]
ELISA, IF, IHC, WB
Human, Monkey, Mouse, Rat
Polyclonal
Unconjugated
100 μl, 50 μlPhospho-Crkl (Tyr251) Rabbit Polyclonal Antibody [orb5883]
IF, IHC-Fr, IHC-P
Bovine, Canine, Equine, Mouse, Porcine, Rabbit, Rat, Sheep
Human
Rabbit
Polyclonal
Unconjugated
50 μl, 200 μl, 100 μlCRKL Rabbit Polyclonal Antibody [orb1676427]
ELISA, FC, ICC, IF, IP, WB
Human
Rabbit
Polyclonal
Unconjugated
100 μgCRKL Rabbit Polyclonal Antibody [orb515536]
IF, IHC, WB
Human, Mouse, Rat
Rabbit
Polyclonal
Unconjugated
100 μl, 200 μl, 30 μl, 50 μl

Quality Guarantee
Explore bioreagents carefree to elevate your research. All our products are rigorously tested for performance. If a product does not perform as described on its datasheet, our scientific support team will provide expert troubleshooting, a prompt replacement, or a refund. For full details, please see our Terms & Conditions and Buying Guide. Contact us at support@biorbyt.com.

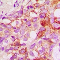
Rabbit Anti-CRKL Antibody, Catalog Number: orb329575, Paraffin Embedded Tissue: Human Lung cell, Cellular Data: Epithelial cells of renal tubule, Antibody Concentration: 4.0-8.0 ug/mL, Magnification: 400X.

Rabbit Anti-CRKL Antibody, Catalog Number: orb329575, Formalin Fixed Paraffin Embedded Tissue: Human Lymph Node Tissue, Observed Staining: Plasma membrane, Cytoplasm, Primary Antibody Concentration: 1:100, Other Working Concentrations: 1:600, Secondary Antibody: Donkey anti-Rabbit-Cy3, Secondary Antibody Concentration: 1:200, Magnification: 20X, Exposure Time: 0.5 - 2.0 sec.

WB Suggested Anti-CRKL Antibody, Titration: 1.0 ug/mL, Positive Control: K562 Whole Cell, CRKL is strongly supported by BioGPS gene expression data to be expressed in Human K562 cells.
Documents Download
Request a Document
CRKL Rabbit Polyclonal Antibody (orb329575)
Participating in our Biorbyt product reviews program enables you to support fellow scientists by sharing your firsthand experience with our products.
Login to Submit a Review
















