You have no items in your shopping cart.
CSEN Rabbit Polyclonal Antibody
Description
Images & Validation
−| Tested Applications | ICC, IF, IHC-P, WB |
|---|---|
| Dilution Range | WB: 1:100-600, IHC-P: 1:50-500, IF/ICC: 1:50-500 |
| Reactivity | Human, Mouse, Rat |
Key Properties
−| Host | Rabbit |
|---|---|
| Clonality | Polyclonal |
| Isotype | IgG |
| Immunogen | KLH conjugated synthetic peptide derived from human CSEN. Please contact us for the exact immunogen sequence. The peptide is available as orb13664. |
| Target | CSEN |
| Molecular Weight | 29 kDa |
| Purity | Polyclonal antibodies are purified by peptide affinity chromatography |
| Conjugation | Unconjugated |
Storage & Handling
−| Storage | Maintain refrigerated at 2-8°C for up to 2 weeks. For long term storage store at -20°C in small aliquots to prevent freeze-thaw cycles. |
|---|---|
| Form/Appearance | 10 mM PBS, 0.02% sodium azide |
| Concentration | - 100 μg (in 200 μl): 0.5 mg/ml- 200 μg (in 400 μl): 0.5 mg/ml |
| Expiration Date | 12 months from date of receipt. |
| Disclaimer | For research use only |
Similar Products
−CSEN Rabbit Polyclonal Antibody [orb1190]
IF, IHC-Fr, IHC-P, WB
Bovine, Canine, Porcine, Rabbit
Human, Mouse, Rat
Rabbit
Polyclonal
Unconjugated
50 μl, 100 μl, 200 μlDREAM (phospho Ser63) rabbit pAb Antibody [orb768609]
ELISA, IF, IHC, WB
Human, Mouse
Polyclonal
Unconjugated
100 μl, 50 μlDREAM rabbit pAb Antibody [orb765075]
ELISA, IF, IHC, WB
Human, Mouse
Polyclonal
Unconjugated
50 μl, 100 μlCSEN Rabbit Polyclonal Antibody [orb573970]
IHC, WB
Bovine, Canine, Equine, Guinea pig, Porcine, Rabbit, Rat, Zebrafish
Human, Mouse
Rabbit
Polyclonal
Unconjugated
100 μlKCNIP3 Antibody [orb675503]
ELISA, IF, IHC, WB
Human, Mouse
Rabbit
Polyclonal
Unconjugated
100 μg, 50 μg

Quality Guarantee
Explore bioreagents carefree to elevate your research. All our products are rigorously tested for performance. If a product does not perform as described on its datasheet, our scientific support team will provide expert troubleshooting, a prompt replacement, or a refund. For full details, please see our Terms & Conditions and Buying Guide. Contact us at support@biorbyt.com.

IHC-P staining of rat testis tissue using CSEN antibody (2.5 ug/ml)

IF analysis of rat testis tissue using CSEN antibody (2.5 ug/ml)

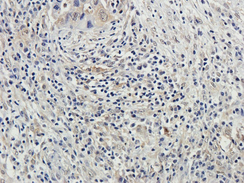
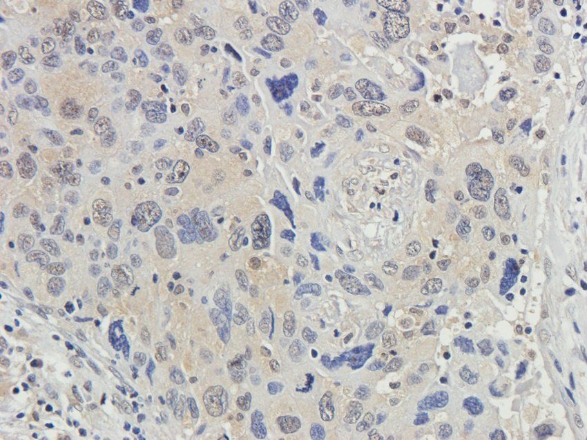
IHC-P image of human lung cancer tissue using CSEN antibody (2.5 ug/ml)

WB analysis of mouse brain (lane 1), mouse testis (lane 2), rat heart (lane 3), hela cells (lane 4), human lung cancer (lane 5) using CSEN antibody (1 ug/ml)

IF analysis of rat testis tissue using CSEN antibody (2.5 ug/ml)

IHC-P staining of human lung cancer tissue using anti-CSEN (2.5 ug/ml)
Documents Download
Request a Document
Protocol Information
CSEN Rabbit Polyclonal Antibody (orb389319)
Participating in our Biorbyt product reviews program enables you to support fellow scientists by sharing your firsthand experience with our products.
Login to Submit a Review
















