You have no items in your shopping cart.
CSNK2B Antibody
Description
Images & Validation
−| Tested Applications | FC, WB |
|---|---|
| Dilution Range | WB: 1/500 - 1/2000; FCM: 1/200 - 1/400; ELISA: 1/10000 |
| Reactivity | Human |
Key Properties
−| Antibody Type | Primary Antibody |
|---|---|
| Host | Mouse |
| Clonality | Monoclonal |
| Isotype | Mouse IgG1 |
| Clone No. | 1H8A5 |
| Immunogen | Purified recombinant fragment of human CSNK2B (AA: FULL(1-215)) expressed in E. Coli. |
| Target | Disease |
| Molecular Weight | 25kDa |
| Conjugation | Unconjugated |
Storage & Handling
−| Storage | Maintain refrigerated at 2-8°C for up to 2 weeks. For long term storage store at -20°C in small aliquots to prevent freeze-thaw cycles. |
|---|---|
| Buffer/Preservatives | Purified antibody in PBS with 0.05% sodium azide. |
| Concentration | Approximately 1mg/ml (varies from batch to batch). Please inquire for precise concentration. |
| Expiration Date | 12 months from date of receipt. |
| Disclaimer | For research use only |
Alternative Names
−Similar Products
−CSNK2B/CK II beta Recombinant Rabbit Monoclonal Antibody [orb704317]
IF, IHC-Fr, IHC-P, WB
Mouse, Rat
Human, Mouse, Rat
Rabbit
Recombinant
Unconjugated
50 μl, 100 μlCasein Kinase IIβ (phospho Ser209) rabbit pAb Antibody [orb767740]
ELISA, IF, IHC, WB
Human, Mouse, Rat
Polyclonal
Unconjugated
50 μl, 100 μlCSNK2B Rabbit Polyclonal Antibody [orb1098101]
ELISA, IHC, WB
Human, Mouse, Rat
Rabbit
Polyclonal
Unconjugated
100 μg

Quality Guarantee
Explore bioreagents carefree to elevate your research. All our products are rigorously tested for performance. If a product does not perform as described on its datasheet, our scientific support team will provide expert troubleshooting, a prompt replacement, or a refund. For full details, please see our Terms & Conditions and Buying Guide. Contact us at support@biorbyt.com.

Line graph illustrates about the Ag-Ab reactions using different concentrations of antigen and serial dilutions of CSNK2B antibody

Flow cytometric analysis of Hela cells lysates using CSNK2B antibody

Western blot analysis of human CSNK2B using CSNK2B antibody

Western blot analysis of HEK293 (Lane 1) HEK293 (Lane 2) cell lysate using CSNK2B antibody

Western blot analysis of Hela (Lane 1), Jurkat (Lane 2), C6 (Lane 3), MCF-7 (Lane 4), SK-N-SH (Lane 5), NTERA-2 (Lane 6) cell lysate using CSNK2B antibody
Documents Download
Request a Document
Protocol Information
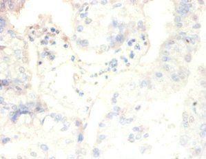
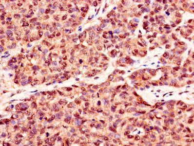
CSNK2B Antibody (orb197784)
Participating in our Biorbyt product reviews program enables you to support fellow scientists by sharing your firsthand experience with our products.
Login to Submit a Review




































