You have no items in your shopping cart.
CTCF Antibody
Description
Images & Validation
−| Tested Applications | ChIP, IF, IHC, IP, WB |
|---|---|
| Reactivity | Human, Mouse, Rat |
| Application Notes |
Key Properties
−| Antibody Type | Primary Antibody |
|---|---|
| Host | Rabbit |
| Clonality | Polyclonal |
| Isotype | IgG |
| Immunogen | Recombinant fusion protein containing a sequence corresponding to amino acids 1-260 of human CTCF (NP_006556.1). |
| Target | CTCF |
| Molecular Weight | Observed: 140kDa |
| Purification | Affinity purification |
| Conjugation | Unconjugated |
Storage & Handling
−| Storage | Maintain refrigerated at 2-8°C for up to 2 weeks. For long term storage store at -20°C in small aliquots to prevent freeze-thaw cycles. |
|---|---|
| Form/Appearance | Liquid |
| Buffer/Preservatives | PBS with 0.02% sodium azide, 50% glycerol, pH 7.3. |
| Concentration | batch dependent |
| Expiration Date | 12 months from date of receipt. |
| Disclaimer | For research use only |
Alternative Names
−Similar Products
−Rabbit CTCF Recombinant Monoclonal Antibody [orb1519896]
FC, ICC, IHC, IP, WB
Human, Mouse
Rabbit
Recombinant
Unconjugated
100 μl, 20 μlCTCF Antibody [orb1261271]
ChIP, IF, IHC, IP, WB
Human, Monkey, Mouse, Rat
Rabbit
Polyclonal
Unconjugated
100 μlCTCF Rabbit Polyclonal Antibody [orb573721]
WB
Bovine, Canine, Guinea pig, Human, Porcine, Rabbit, Rat
Mouse
Rabbit
Polyclonal
Unconjugated
100 μl

Quality Guarantee
Explore bioreagents carefree to elevate your research. All our products are rigorously tested for performance. If a product does not perform as described on its datasheet, our scientific support team will provide expert troubleshooting, a prompt replacement, or a refund. For full details, please see our Terms & Conditions and Buying Guide. Contact us at support@biorbyt.com.

Western blot analysis of extracts of 293T cells, using CTCF antibody (orb1260507) at 1:1000 dilution. Secondary antibody: HRP Goat Anti-Rabbit IgG (H+L) at 1:10000 dilution. Lysates/proteins: 25 ug per lane. Blocking buffer: 3% nonfat dry milk in TBST. Detection: ECL Basic Kit. Exposure time: 5s.

Immunohistochemistry of paraffin-embedded rat liver using CTCF antibody (orb1260507) at dilution of 1:200 (40x lens).

Immunohistochemistry of paraffin-embedded rat brain using CTCF antibody (orb1260507) at dilution of 1:200 (40x lens).

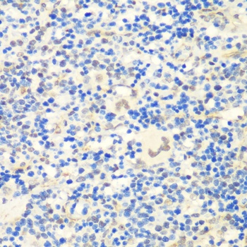
Immunohistochemistry of paraffin-embedded rat spleen using CTCF antibody (orb1260507) at dilution of 1:200 (40x lens).

Immunohistochemistry of paraffin-embedded mouse brain using CTCF antibody (orb1260507) at dilution of 1:200 (40x lens).

Immunofluorescence analysis of U2OS cells using CTCF antibody (orb1260507) at dilution of 1:100. Blue: DAPI for nuclear staining.

Immunoprecipitation analysis of 200 ug extracts of HeLa cells, using 3 ug CTCF antibody (orb1260507). Western blot was performed from the immunoprecipitate using CTCF antibody (orb1260507) at a dilution of 1:1000.

Chromatin immunoprecipitation analysis of extracts of HCT116 cells, using CTCF antibody (orb1260507) and rabbit IgG. The amount of immunoprecipitated DNA was checked by quantitative PCR. Histogram was constructed by the ratios of the immunoprecipitated DNA to the input.
Quick Database Links
UniProt Details
−Documents Download
Request a Document
Protocol Information
CTCF Antibody (orb1260507)
Participating in our Biorbyt product reviews program enables you to support fellow scientists by sharing your firsthand experience with our products.
Login to Submit a Review





















