You have no items in your shopping cart.
CTNNB1 Rabbit Polyclonal Antibody
Description
Research Area
Images & Validation
−| Tested Applications | IHC-P, WB |
|---|---|
| Reactivity | Human, Mouse |
| Predicted Reactivity | Canine, Equine, Guinea pig, Rabbit, Zebrafish |
Key Properties
−| Host | Rabbit |
|---|---|
| Clonality | Polyclonal |
| Immunogen | The immunogen is a synthetic peptide directed towards the C terminal region of human CTNNB1 |
| Target | CTNNB1 |
| Protein Sequence | Synthetic peptide located within the following region: DPMMEHEMGGHHPGADYPVDGLPDLGHAQDLMDGLPPGDSNQLAWFDTDL |
| Molecular Weight | 86 kDa |
| Purification | Protein A purified |
| Conjugation | Unconjugated |
Storage & Handling
−| Storage | Maintain refrigerated at 2-8°C for up to 2 weeks. For long term storage store at -20°C in small aliquots to prevent freeze-thaw cycles. |
|---|---|
| Buffer/Preservatives | Liquid. Purified antibody supplied in 1x PBS buffer with 0.09% (w/v) sodium azide and 2% sucrose. |
| Concentration | 1.0 mg/ml |
| Expiration Date | 12 months from date of receipt. |
| Disclaimer | For research use only |
Alternative Names
−Similar Products
−Beta catenin Rabbit Polyclonal Antibody [orb500798]
IF, IHC-Fr, IHC-P, WB
Bovine, Canine, Equine, Gallus, Porcine, Rabbit, Sheep, Zebrafish
Human, Mouse, Rat
Rabbit
Polyclonal
Unconjugated
50 μl, 100 μl, 200 μlbeta Catenin/CTNNB1 Rabbit Polyclonal Antibody [orb402308]
ELISA, FC, ICC, IF, IHC, WB
Human, Mouse, Rat
Rabbit
Polyclonal
Unconjugated
100 μgBeta catenin Rabbit Polyclonal Antibody [orb10246]
IF, IHC-Fr, IHC-P, WB
Bovine, Canine, Equine, Gallus, Porcine, Rabbit, Sheep, Zebrafish
Human, Mouse, Rat
Rabbit
Polyclonal
Unconjugated
50 μl, 100 μl, 200 μlPhospho-beta Catenin (Tyr333) Rabbit Polyclonal Antibody [orb155828]
FC, IF, IHC-Fr, IHC-P, WB
Bovine, Gallus, Porcine, Rabbit, Sheep
Human, Mouse, Rat
Rabbit
Polyclonal
Unconjugated
50 μl, 100 μl, 200 μlPhospho-Beta-Catenin (Ser33 + Ser37) Rabbit Polyclonal Antibody [orb5768]
FC, IF, IHC-Fr, IHC-P
Gallus, Porcine, Rabbit
Human, Mouse, Rat
Rabbit
Polyclonal
Unconjugated
50 μl, 100 μl, 200 μl

Quality Guarantee
Explore bioreagents carefree to elevate your research. All our products are rigorously tested for performance. If a product does not perform as described on its datasheet, our scientific support team will provide expert troubleshooting, a prompt replacement, or a refund. For full details, please see our Terms & Conditions and Buying Guide. Contact us at support@biorbyt.com.

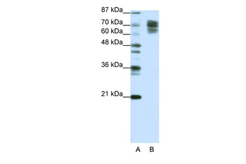
25 ug of the indicated Human whole cell extracts was loaded onto a 12% SDS-PAGE gel. 3 ug/ml of the antibody was used in this experiment.

CTNNB1 was immunoprecipitated from 1 mg HEK293 Whole Cell Lysate with orb592819 with 1:200 dilution. Western blot was performed using orb592819 at 1/1000 dilution, Lane 1: Control IP in HEK293 Whole Cell Lysate, Lane 2: CTNNB1 IP with orb592819 in HEK293 Whole Cell Lysate, Lane 3: Input of HEK293 Whole Cell Lysate.

Sample Tissue: Mouse Liver, Antibody Dilution: 1 ug/ml.

Sample Tissue: Mouse Skeletal Muscle, Antibody Dilution: 1 ug/ml.

Sample Tissue: Human MCF7, Antibody Dilution: 1.0 ug/ml.

Sample Tissue: Mouse Liver, Antibody Dilution: 1 ug/ml.

Sample Tissue: Mouse Skeletal Muscle, Antibody Dilution: 1 ug/ml.

Human Intestine

Rabbit Anti-CTNNB1 Antibody, Paraffin Embedded Tissue: Human cardiac cell, Cellular Data: Epithelial cells of renal tubule, Antibody Concentration: 4.0-8.0 ug/ml, Magnification: 400X.

Rabbit Anti-CTNNB1 Antibody, Catalog Number: orb592819, Formalin Fixed Paraffin Embedded Tissue: Human Ovary Tissue, Observed Staining: Cytoplasm, Plasma membrane, Primary Antibody Concentration: 1:100, Other Working Concentrations: 1:600, Secondary Antibody: Donkey anti-Rabbit-Cy3, Secondary Antibody Concentration: 1:200, Magnification: 20X, Exposure Time: 0.5-2.0 sec.

Sample Type: HCT116 cell lysate. CTNNB1 is supported by BioGPS gene expression data to be expressed in HCT116.

WB Suggested Anti-CTNNB1 Antibody Titration: 1.25 ug/ml, ELISA Titer: 1:312500, Positive Control: HepG2 cell lysate.
Quick Database Links
NCBI Reference Sequences
−| RefSeq | XP_001133664 |
|---|
Documents Download
Request a Document
Protocol Information
CTNNB1 Rabbit Polyclonal Antibody (orb592819)
Participating in our Biorbyt product reviews program enables you to support fellow scientists by sharing your firsthand experience with our products.
Login to Submit a Review
































