You have no items in your shopping cart.
Cubilin antibody
Description
Images & Validation
−| Tested Applications | ICC, IF, IHC-P, WB |
|---|---|
| Dilution Range | IF/ICC: 1:100-600, IHC-P: 1:100-600, WB: 1:200-2000 |
| Reactivity | Human, Mouse, Porcine, Rat |
Key Properties
−| Host | Rabbit |
|---|---|
| Clonality | Polyclonal |
| Isotype | IgG |
| Immunogen | KLH conjugated synthetic peptide derived from human Cubilin. Please contact us for the exact immunogen sequence. The peptide is available as orb12917. |
| Target | Cubilin |
| Molecular Weight | 399 kDa |
| Purity | Polyclonal antibodies are purified by peptide affinity chromatography |
| Conjugation | Unconjugated |
Storage & Handling
−| Storage | Maintain refrigerated at 2-8°C for up to 2 weeks. For long term storage store at -20°C in small aliquots to prevent freeze-thaw cycles. |
|---|---|
| Form/Appearance | 10 mM PBS, 0.02% sodium azide |
| Concentration | - 100 μg (in 200 μl): 0.5 mg/ml- 200 μg (in 400 μl): 0.5 mg/ml |
| Expiration Date | 12 months from date of receipt. |
| Disclaimer | For research use only |
Alternative Names
−Similar Products
−Cubilin Recombinant Rabbit Monoclonal Antibody [orb1610348]
IF, IHC-Fr, IHC-P, WB
Human
Rabbit
Recombinant
Unconjugated
50 μl, 100 μl

Quality Guarantee
Explore bioreagents carefree to elevate your research. All our products are rigorously tested for performance. If a product does not perform as described on its datasheet, our scientific support team will provide expert troubleshooting, a prompt replacement, or a refund. For full details, please see our Terms & Conditions and Buying Guide. Contact us at support@biorbyt.com.

WB analysis of rat kidney (lane 1), rat large intestines (lane 2), mouse liver (lane 3), rat lung (lane 4), U251 cells (lane 5), Hela cells (lane 6) using Cubilin antibody (1 ug/ml)

IF analysis of rat stomach tissue using Cubilin antibody (2.5 ug/ml)

IHC-P staining of rat stomach tissue using anti-Cubilin (2.5 ug/ml)

IHC-P staining of pig lung tissue using Cubilin antibody (2.5 ug/ml)

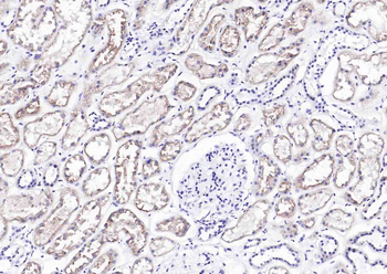
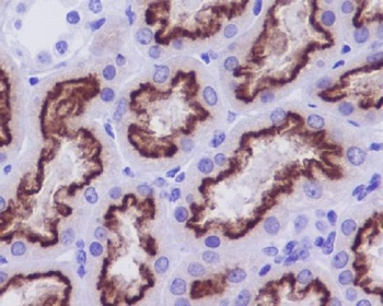
Immunohistochemical staining of paraffin embedded mouse kidney tissue using anti-Cubilin (2.5 ug/ml)

IHC-P staining of rat stomach tissue using Cubilin antibody (2.5 ug/ml)

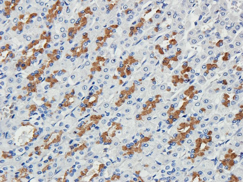
Immunohistochemical staining of pig liver tissue using anti-Cubilin (2.5 ug/ml)

Immunohistochemical staining of paraffin embedded mouse kidney tissue using Cubilin antibody (2.5 ug/ml)

IHC-P staining of rat stomach tissue using anti-Cubilin (2.5 ug/ml)

Immunofluorescence image of pig liver tissue using anti-Cubilin (2.5 ug/ml)

Western blot analysis of rat kidney (lane 1), rat large intestines (lane 2), mouse liver (lane 3), rat lung (lane 4), U251 cells (lane 5), Hela cells (lane 6) using Cubilin antibody (1 ug/ml)

Immunofluorescence image of pig liver tissue using Cubilin antibody (2.5 ug/ml)

IF image of rat stomach tissue using Cubilin antibody (2.5 ug/ml)

Immunohistochemical staining of rat stomach tissue using anti-Cubilin (2.5 ug/ml)
Quick Database Links
UniProt Details
−Documents Download
Request a Document
Protocol Information
Cubilin antibody (orb4997)
Participating in our Biorbyt product reviews program enables you to support fellow scientists by sharing your firsthand experience with our products.
Login to Submit a Review







