You have no items in your shopping cart.
CXCL12 Antibody
Description
Research Area
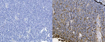
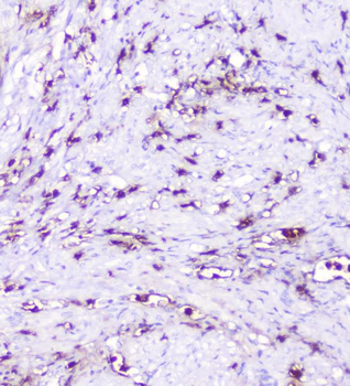
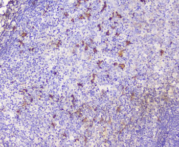
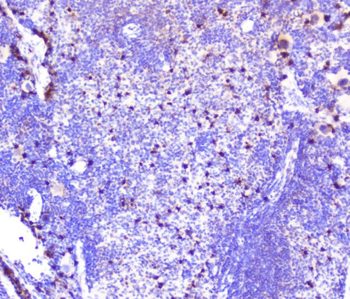
Images & Validation
−| Tested Applications | ELISA, IHC, WB |
|---|---|
| Dilution Range | WB: 1:500-1:2000, IHC-P: 1:100-1:300, ELISA: 1:40000 |
| Reactivity | Human, Mouse, Rat |
Key Properties
−| Host | Rabbit |
|---|---|
| Clonality | Polyclonal |
| Isotype | IgG |
| Immunogen | Synthesized peptide derived from the C-terminal region of Human SDF-1. |
| Target | CXCL12 |
| Purification | The antibody was affinity-purified from rabbit antiserum by affinity-chromatography using epitope-specific immunogen. |
| Conjugation | Unconjugated |
Storage & Handling
−| Storage | Maintain refrigerated at 2-8°C for up to 2 weeks. For long term storage store at -20°C in small aliquots to prevent freeze-thaw cycles. |
|---|---|
| Form/Appearance | Liquid |
| Buffer/Preservatives | Liquid in PBS containing 50% glycerol, 0.5% rAlbumin and 0.02% sodium azide. |
| Expiration Date | 12 months from date of receipt. |
| Disclaimer | For research use only |
Alternative Names
−Similar Products
−CXCL12 Rabbit Polyclonal Antibody [orb443170]
ELISA, IF, IHC
Human, Mouse, Rat
Rabbit
Polyclonal
Unconjugated
100 μgSDF1 Rabbit Polyclonal Antibody [orb11353]
ELISA, IHC-P, WB
Rabbit
Polyclonal
Unconjugated
100 μg, 500 μgSDF1 Rabbit Polyclonal Antibody [orb251479]
ELISA, ICC, IF, IHC-P, WB
Canine, Gallus, Human, Mouse, Rat
Rabbit
Polyclonal
Unconjugated
100 μgPig Stromal Cell Derived Factor 1 (SDF1) ELISA Kit [orb781069]
Porcine
0.16-10 ng/mL
0.06 ng/mL
96 T, 48 THuman Stromal Cell Derived Factor 1 (SDF1) ELISA Kit [orb775048]
Human
0.16-10 ng/mL
0.057 ng/mL
96 T, 48 T

Quality Guarantee
Explore bioreagents carefree to elevate your research. All our products are rigorously tested for performance. If a product does not perform as described on its datasheet, our scientific support team will provide expert troubleshooting, a prompt replacement, or a refund. For full details, please see our Terms & Conditions and Buying Guide. Contact us at support@biorbyt.com.

Western blot analysis of HELA KB MCF7 cells using SDF1 antibody

Western blot analysis of HuvEc cells using SDF1 antibody
Quick Database Links
UniProt Details
−Documents Download
Request a Document
Protocol Information
CXCL12 Antibody (orb675875)
Participating in our Biorbyt product reviews program enables you to support fellow scientists by sharing your firsthand experience with our products.
Login to Submit a Review
























