You have no items in your shopping cart.
Cyclophilin B Mouse Monoclonal Antibody (Loading Control)
Description
Research Area
Images & Validation
−| Tested Applications | IF, IHC-Fr, IHC-P, WB |
|---|---|
| Dilution Range | WB=1:500-2000, IHC-P=1:100-500, IHC-F=1:100-500, IF=1:100-500 |
| Reactivity | Human, Mouse, Rat |
| Predicted Reactivity | Mouse, Rat |
Related Conjugates & Formulations
−Key Properties
−| Antibody Type | Primary Antibody |
|---|---|
| Host | Mouse |
| Clonality | Monoclonal |
| Isotype | IgG |
| Clone No. | 4C7 |
| Immunogen | KLH conjugated synthetic peptide derived from human Cyclophilin B |
| Target | PPIB |
| Molecular Weight | 20 kDa |
| Purification | Affinity purified by Protein G |
| Conjugation | Unconjugated |
Storage & Handling
−| Storage | Maintain refrigerated at 2-8°C for up to 2 weeks. For long term storage store at -20°C in small aliquots to prevent freeze-thaw cycles. |
|---|---|
| Form/Appearance | Liquid |
| Buffer/Preservatives | 0.01M TBS (pH7.4) with 1% rAlbumin, 0.02% Proclin300 and 50% Glycerol. |
| Concentration | 1mg/ml |
| Expiration Date | 12 months from date of receipt. |
| Disclaimer | For research use only |
Alternative Names
−
Quality Guarantee
Explore bioreagents carefree to elevate your research. All our products are rigorously tested for performance. If a product does not perform as described on its datasheet, our scientific support team will provide expert troubleshooting, a prompt replacement, or a refund. For full details, please see our Terms & Conditions and Buying Guide. Contact us at support@biorbyt.com.

Paraformaldehyde-fixed, paraffin embedded (human intestine), Antigen retrieval by boiling in sodium citrate buffer (pH6.0) for 15 min, Block endogenous peroxidase by 3% hydrogen peroxide for 20 minutes, Blocking buffer (normal goat serum) at 37°C for 30 min, Incubation with (Cyclophilin B (Loading Control)) Monoclonal Antibody, Unconjugated (orb526697) at 1:200 overnight at 4°C, followed by operating according to SP Kit (Mouse) instructionsand DAB staining.

Paraformaldehyde-fixed, paraffin embedded (human placenta), Antigen retrieval by boiling in sodium citrate buffer (pH6.0) for 15 min, Block endogenous peroxidase by 3% hydrogen peroxide for 20 minutes, Blocking buffer (normal goat serum) at 37°C for 30 min, Incubation with (Cyclophilin B (Loading Control)) Monoclonal Antibody, Unconjugated (orb526697) at 1:200 overnight at 4°C, followed by operating according to SP Kit (Mouse) instructionsand DAB staining.

Paraformaldehyde-fixed, paraffin embedded (mouse placenta), Antigen retrieval by boiling in sodium citrate buffer (pH6.0) for 15 min, Block endogenous peroxidase by 3% hydrogen peroxide for 20 minutes, Blocking buffer (normal goat serum) at 37°C for 30 min, Incubation with (Cyclophilin B (Loading Control)) Monoclonal Antibody, Unconjugated (orb526697) at 1:200 overnight at 4°C, followed by operating according to SP Kit (Mouse) instructionsand DAB staining.

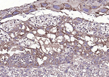
Paraformaldehyde-fixed, paraffin embedded (rat placenta), Antigen retrieval by boiling in sodium citrate buffer (pH6.0) for 15 min, Block endogenous peroxidase by 3% hydrogen peroxide for 20 minutes, Blocking buffer (normal goat serum) at 37°C for 30 min, Incubation with (Cyclophilin B (Loading Control)) Monoclonal Antibody, Unconjugated (orb526697) at 1:200 overnight at 4°C, followed by operating according to SP Kit (Mouse) instructionsand DAB staining.

Paraformaldehyde-fixed, paraffin embedded Human Colon Cancer, Antigen retrieval by boiling in sodium citrate buffer (pH6.0) for 15 min, Antibody incubation with Cyclophilin B (Loading Control) Monoclonal Antibody, Unconjugated (orb526697) at 1:200 overnight at 4°C, followed by conjugation to the SP Kit (Mouse) and DAB staining.

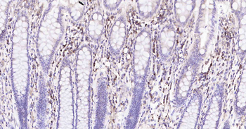
Paraformaldehyde-fixed, paraffin embedded Human Colon, Antigen retrieval by boiling in sodium citrate buffer (pH6.0) for 15 min, Antibody incubation with Cyclophilin B (Loading Control) Monoclonal Antibody, Unconjugated (orb526697) at 1:200 overnight at 4°C, followed by conjugation to the SP Kit (Mouse) and DAB staining.

Paraformaldehyde-fixed, paraffin embedded Human Fundus, Antigen retrieval by boiling in sodium citrate buffer (pH6.0) for 15 min, Antibody incubation with Cyclophilin B (Loading Control) Monoclonal Antibody, Unconjugated (orb526697) at 1:200 overnight at 4°C, followed by conjugation to the SP Kit (Mouse) and DAB staining.

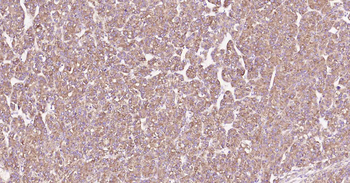
Paraformaldehyde-fixed, paraffin embedded Human Gastric Cancer, Antigen retrieval by boiling in sodium citrate buffer (pH6.0) for 15 min, Antibody incubation with Cyclophilin B (Loading Control) Monoclonal Antibody, Unconjugated (orb526697) at 1:200 overnight at 4°C, followed by conjugation to the SP Kit (Mouse) and DAB staining.

Paraformaldehyde-fixed, paraffin embedded Human Liver Cancer, Antigen retrieval by boiling in sodium citrate buffer (pH6.0) for 15 min, Antibody incubation with Cyclophilin B (Loading Control) Monoclonal Antibody, Unconjugated (orb526697) at 1:200 overnight at 4°C, followed by conjugation to the SP Kit (Mouse) and DAB staining.

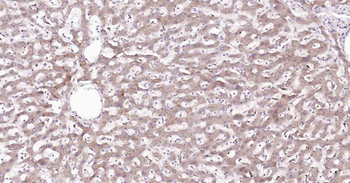
Paraformaldehyde-fixed, paraffin embedded Human Liver, Antigen retrieval by boiling in sodium citrate buffer (pH6.0) for 15 min, Antibody incubation with Cyclophilin B (Loading Control) Monoclonal Antibody, Unconjugated (orb526697) at 1:200 overnight at 4°C, followed by conjugation to the SP Kit (Mouse) and DAB staining.

Paraformaldehyde-fixed, paraffin embedded Human Lung Cancer, Antigen retrieval by boiling in sodium citrate buffer (pH6.0) for 15 min, Antibody incubation with Cyclophilin B (Loading Control) Monoclonal Antibody, Unconjugated (orb526697) at 1:200 overnight at 4°C, followed by conjugation to the SP Kit (Mouse) and DAB staining.

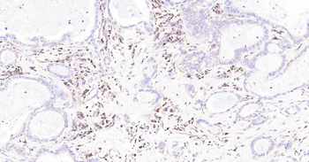
Paraformaldehyde-fixed, paraffin embedded Human Pancreatic Cancer, Antigen retrieval by boiling in sodium citrate buffer (pH6.0) for 15 min, Antibody incubation with Cyclophilin B (Loading Control) Monoclonal Antibody, Unconjugated (orb526697) at 1:200 overnight at 4°C, followed by conjugation to the SP Kit (Mouse) and DAB staining.

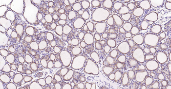
Paraformaldehyde-fixed, paraffin embedded Human Thyroid Gland, Antigen retrieval by boiling in sodium citrate buffer (pH6.0) for 15 min, Antibody incubation with Cyclophilin B (Loading Control) Monoclonal Antibody, Unconjugated (orb526697) at 1:200 overnight at 4°C, followed by conjugation to the SP Kit (Mouse) and DAB staining.

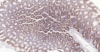
Paraformaldehyde-fixed, paraffin embedded Mouse Stomach, Antigen retrieval by boiling in sodium citrate buffer (pH6.0) for 15 min, Antibody incubation with Cyclophilin B (Loading Control) Monoclonal Antibody, Unconjugated (orb526697) at 1:200 overnight at 4°C, followed by conjugation to the SP Kit (Mouse) and DAB staining.

Paraformaldehyde-fixed, paraffin embedded Rat Thyroid Gland, Antigen retrieval by boiling in sodium citrate buffer (pH6.0) for 15 min, Antibody incubation with Cyclophilin B (Loading Control) Monoclonal Antibody, Unconjugated (orb526697) at 1:200 overnight at 4°C, followed by conjugation to the SP Kit (Mouse) and DAB staining.

Sample: Lane 1: Hela (Human) Cell Lysate at 30 ug, Lane 2: A431 (Human) Cell Lysate at 30 ug, Lane 3: HepG2 (Human) Cell Lysate at 30 ug, Lane 4: Thyroid gland (Mouse) Lysate at 40 ug, Lane 5: Thyroid gland (Rat) Lysate at 40 ug, Lane 6: Placenta (Mouse) Lysate at 40 ug, Lane 7: Cerebrum (Mouse) Lysate at 40 ug, Lane 8: Cerebrum (Rat) Lysate at 40 ug, Lane 9: Liver (Mouse) Lysate at 40 ug, Lane 10: Liver (Rat) Lysate at 40 ug, Lane 11: Kidney (Mouse) Lysate at 40 ug, Lane 12: Kidney (Rat) Lysate at 40 ug, Lane 13: Huvec (Human) Cell Lysate at 30 ug, Lane 14: U937 (Human) Cell Lysate at 30 ug, Primary: Anti-Cyclophilin B (orb526697) at 1/1000 dilution, Secondary: IRDye800CW Goat Anti-Mouse IgG at 1/20000 dilution, Predicted band size: 20 kD, Observed band size: 20 kD.
Quick Database Links
UniProt Details
−Documents Download
Request a Document
Protocol Information
Cyclophilin B Mouse Monoclonal Antibody (Loading Control) (orb526697)
Participating in our Biorbyt product reviews program enables you to support fellow scientists by sharing your firsthand experience with our products.
Login to Submit a Review