You have no items in your shopping cart.
DBN1 Antibody
Description
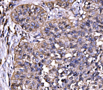
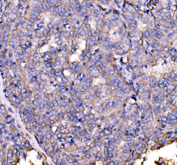
Images & Validation
−| Tested Applications | ELISA, IF, WB |
|---|---|
| Dilution range | WB: 1:500-1:2000; IF: 1:20-1:200 |
| Reactivity | Human, Mouse |
Key Properties
−| Antibody Type | Primary Antibody |
|---|---|
| Host | Rabbit |
| Clonality | Polyclonal |
| Isotype | IgG |
| Immunogen | drebrin 1 |
| Target | DBN1 |
| Molecular Weight | 100-130 kDa |
| Purity | ≥95% as determined by SDS-PAGE |
| Purification | Immunogen affinity purified |
| Conjugation | Unconjugated |
Storage & Handling
−| Storage | Maintain refrigerated at 2-8°C for up to 2 weeks. For long term storage store at -20°C in small aliquots to prevent freeze-thaw cycles. |
|---|---|
| Form/Appearance | liquid |
| Disclaimer | For research use only |
Similar Products
−Drebrin/DBN1 Antibody [orb865381]
ELISA, FC, ICC, IF, IHC, WB
Human, Monkey, Rat
Rabbit
Polyclonal
Unconjugated
100 μgDrebrin Rabbit Polyclonal Antibody [orb100976]
IF, IHC-Fr, IHC-P
Bovine, Canine, Equine, Gallus, Porcine, Rabbit
Human, Mouse, Rat
Rabbit
Polyclonal
Unconjugated
50 μl, 100 μl, 200 μlDrebrin/DBN1 Antibody (monoclonal, 4F6E7) [orb1152404]
FC, IHC, WB
Human, Monkey, Mouse, Rat
Mouse
Monoclonal
Unconjugated
100 μg

Quality Guarantee
Explore bioreagents carefree to elevate your research. All our products are rigorously tested for performance. If a product does not perform as described on its datasheet, our scientific support team will provide expert troubleshooting, a prompt replacement, or a refund. For full details, please see our Terms & Conditions and Buying Guide. Contact us at support@biorbyt.com.

K-562 cells were subjected to SDS PAGE followed by western blot with orb626524 (Drebrin Antibody) at dilution of 1:1000.
Quick Database Links
UniProt Details
−Documents Download
Request a Document
Protocol Information
DBN1 Antibody (orb626524)
Participating in our Biorbyt product reviews program enables you to support fellow scientists by sharing your firsthand experience with our products.
Login to Submit a Review















