You have no items in your shopping cart.
DBR1 Rabbit Polyclonal Antibody
Description
Research Area
Images & Validation
−| Tested Applications | ELISA, IF, IHC, WB |
|---|---|
| Dilution Range | WB: 1:500-1:2000; IHC: 1:20-1:200; IF: 1:20-1:200 |
| Reactivity | Human, Mouse, Rat |
Key Properties
−| Antibody Type | Primary Antibody |
|---|---|
| Host | Rabbit |
| Clonality | Polyclonal |
| Isotype | IgG |
| Immunogen | debranching enzyme homolog 1(S. cerevisiae) |
| Target | DBR1 |
| Molecular Weight | 62 kDa |
| Purity | ≥95% as determined by SDS-PAGE |
| Purification | Immunogen affinity purified |
| Conjugation | Unconjugated |
Storage & Handling
−| Storage | Maintain refrigerated at 2-8°C for up to 2 weeks. For long term storage store at -20°C in small aliquots to prevent freeze-thaw cycles. |
|---|---|
| Form/Appearance | liquid |
| Expiration Date | 12 months from date of receipt. |
| Disclaimer | For research use only |
Similar Products
−DBR1 Rabbit Polyclonal Antibody [orb182990]
IF, IHC-Fr, IHC-P
Bovine, Canine, Human, Rat, Sheep
Mouse
Rabbit
Polyclonal
Unconjugated
50 μl, 100 μl, 200 μlDBR1 Polyclonal Antibody [orb1420119]
ELISA, ICC, IF, IHC-Fr, IHC-P, WB
Rat
Rabbit
Polyclonal
Unconjugated
100 μlDBR1 Rabbit Polyclonal Antibody (FITC) [orb187303]
IF
Bovine, Canine, Human, Rat, Sheep
Mouse
Rabbit
Polyclonal
FITC
100 μlDBR1 Rabbit Polyclonal Antibody (Biotin) [orb449850]
IF, IHC-Fr, IHC-P
Bovine, Canine, Human, Rat, Sheep
Mouse
Rabbit
Polyclonal
Biotin
100 μlDBR1 Rabbit Polyclonal Antibody (HRP) [orb477928]
IHC-Fr, IHC-P
Bovine, Canine, Human, Rat, Sheep
Mouse
Rabbit
Polyclonal
HRP
100 μl

Quality Guarantee
Explore bioreagents carefree to elevate your research. All our products are rigorously tested for performance. If a product does not perform as described on its datasheet, our scientific support team will provide expert troubleshooting, a prompt replacement, or a refund. For full details, please see our Terms & Conditions and Buying Guide. Contact us at support@biorbyt.com.

human brain tissue were subjected to SDS PAGE followed by western blot with orb626273 (DBR1 antibody) at dilution of 1:500.

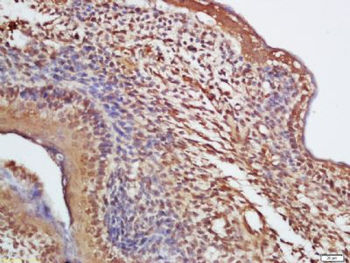
Immunohistochemistry of paraffin-embedded human placenta using orb626273 (DBR1 antibody) at dilution of 1:100.
Quick Database Links
UniProt Details
−Documents Download
Request a Document
Protocol Information
DBR1 Rabbit Polyclonal Antibody (orb626273)
Participating in our Biorbyt product reviews program enables you to support fellow scientists by sharing your firsthand experience with our products.
Login to Submit a Review

