You have no items in your shopping cart.
DC-SIGN Antibody / CD209
Description
Images & Validation
−| Tested Applications | IHC-P, WB |
|---|---|
| Dilution Range | Western blot: 0.5-1ug/ml,Immunohistochemistry (FFPE): 0.5-1ug/ml for 30 min at RT |
| Reactivity | Human |
| Application Notes |
Key Properties
−| Antibody Type | Primary Antibody |
|---|---|
| Host | Mouse |
| Clonality | Monoclonal |
| Isotype | Mouse IgG2b, kappa |
| Clone No. | C209/1781 |
| Immunogen | A human partial recombinant protein was used as the immunogen for the DC-SIGN antibody. |
| Purification | Protein G affinity chromatography |
| Conjugation | Unconjugated |
Storage & Handling
−| Storage | Maintain refrigerated at 2-8°C for up to 2 weeks. For long term storage store at -20°C in small aliquots to prevent freeze-thaw cycles. |
|---|---|
| Buffer/Preservatives | 1 mg/ml in 1X PBS; rAlbumin free, sodium azide free |
| Expiration Date | 12 months from date of receipt. |
| Disclaimer | For research use only |
Similar Products
−
Quality Guarantee
Explore bioreagents carefree to elevate your research. All our products are rigorously tested for performance. If a product does not perform as described on its datasheet, our scientific support team will provide expert troubleshooting, a prompt replacement, or a refund. For full details, please see our Terms & Conditions and Buying Guide. Contact us at support@biorbyt.com.

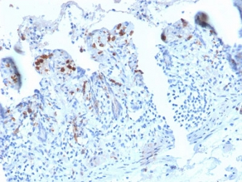
IHC testing of FFPE human lung carcinoma with DC-SIGN antibody (clone C209/1781). Required HIER: boil tissue sections in 10mM Tris with 1mM EDTA, pH9, for 10-20.

IHC testing of FFPE human small intestine with DC-SIGN antibody (clone C209/1781). Required HIER: boil tissue sections in 10mM Tris with 1mM EDTA, pH9, for 10-20.

IHC testing of FFPE human colon carcinoma with DC-SIGN antibody (clone C209/1781). Required HIER: boil tissue sections in 10mM Tris with 1mM EDTA, pH9, for 10-20.

SDS-PAGE Analysis of Purified, BSA-Free DC-SIGN Antibody (clone C209/1781). Confirmation of Integrity and Purity of the Antibody.

Western blot testing of human liver and spleen lysate with DC-SIGN antibody. Predicted molecular weight ~46 kDa.
Quick Database Links
UniProt Details
−Documents Download
Request a Document
Protocol Information
DC-SIGN Antibody / CD209 (orb2640311)
Participating in our Biorbyt product reviews program enables you to support fellow scientists by sharing your firsthand experience with our products.
Login to Submit a Review





