You have no items in your shopping cart.
DDX3X Antibody
Description
Research Area
Images & Validation
−| Tested Applications | ELISA, IF, IHC, IP, WB |
|---|---|
| Dilution Range | WB:1:500-5000, IHC-P:1:100-500, IF:1:50-500, IP:1:200-2000 |
| Reactivity | Human, Mouse, Rat |
Key Properties
−| Host | Rabbit |
|---|---|
| Clonality | Polyclonal |
| Isotype | IgG |
| Immunogen | Recombinant Human ATP-dependent RNA helicase DDX3X protein (2-662AA) |
| Target | DDX3X |
| Purification | >95%, Protein G purified |
| Conjugation | Unconjugated |
Storage & Handling
−| Storage | Maintain refrigerated at 2-8°C for up to 2 weeks. For long term storage store at -20°C in small aliquots to prevent freeze-thaw cycles. |
|---|---|
| Form/Appearance | Liquid |
| Buffer/Preservatives | Preservative: 0.03% Proclin 300. Constituents: 50% Glycerol |
| Expiration Date | 12 months from date of receipt. |
| Disclaimer | For research use only |
Alternative Names
−Similar Products
−DDX3 (phospho Thr322) rabbit pAb Antibody [orb767859]
ELISA, IF, IHC
Human, Mouse, Rat
Polyclonal
Unconjugated
100 μl, 50 μlDDX3/DDX3X Rabbit Polyclonal Antibody [orb402398]
FC, ICC, IF, WB
Human, Mouse, Rat
Rabbit
Polyclonal
Unconjugated
100 μgDDX3/DDX3X Rabbit Polyclonal Antibody [orb1098096]
FC, ICC, IF, WB
Human, Monkey, Mouse, Rat
Rabbit
Polyclonal
Unconjugated
100 μg

Quality Guarantee
Explore bioreagents carefree to elevate your research. All our products are rigorously tested for performance. If a product does not perform as described on its datasheet, our scientific support team will provide expert troubleshooting, a prompt replacement, or a refund. For full details, please see our Terms & Conditions and Buying Guide. Contact us at support@biorbyt.com.

Western blot analysis of NIH3T3(Lane 1), K562(Lane 2), Jurkat(Lane 3) whole cell lysate using DDX3X antibody

Western blot analysis of K562(Lane 1), Jurkat(Lane 2), MCF-7(Lane 3) whole cell lysate, Rat brain(Lane 4), Rat heart(Lane 5), Mouse liver(Lane 6), Mouse kidney(Lane 7) tissue using DDX3X antibody

Immunofluorescence analysis of HepG2 cells using DDX3X antibody

Immunoprecipitation analysis of Jurkat whole cell lysate using DDX3X antibody

Immunohistochemical staining of human adrenal gland tissue using DDX3X antibody

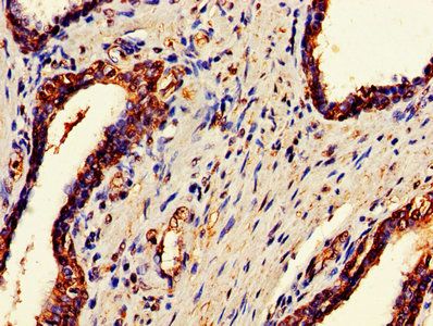
Immunohistochemical staining of human proste cancer using DDX3X antibody

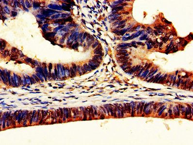
Immunohistochemical staining of human colon cancer using DDX3X antibody
Quick Database Links
UniProt Details
−Documents Download
Request a Document
Protocol Information
DDX3X Antibody (orb350425)
Participating in our Biorbyt product reviews program enables you to support fellow scientists by sharing your firsthand experience with our products.
Login to Submit a Review



















