You have no items in your shopping cart.
DNase I
SKU: orb1736803
Description
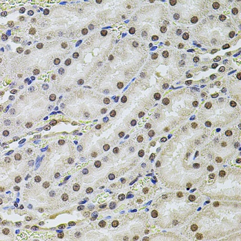
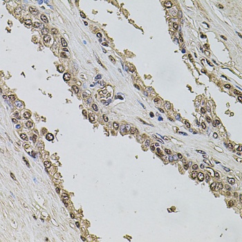
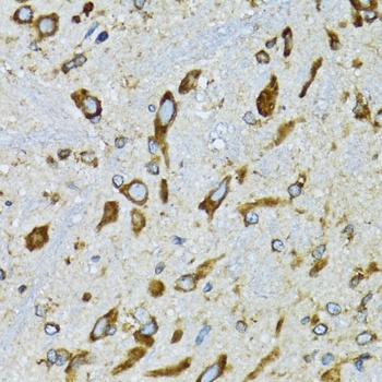
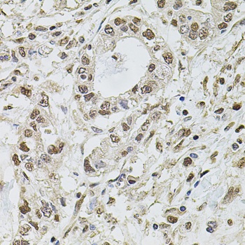
Images & Validation
−
Key Properties
−Storage & Handling
−| Expiration Date | 12 months from date of receipt. |
|---|---|
| Disclaimer | For research use only |
Similar Products
−
Quality Guarantee
Explore bioreagents carefree to elevate your research. All our products are rigorously tested for performance. If a product does not perform as described on its datasheet, our scientific support team will provide expert troubleshooting, a prompt replacement, or a refund. For full details, please see our Terms & Conditions and Buying Guide. Contact us at support@biorbyt.com.
Documents Download
Datasheet
Product Information
Request a Document
Protocol Information
DNase I (orb1736803)
Based on 0 reviews
Participating in our Biorbyt product reviews program enables you to support fellow scientists by sharing your firsthand experience with our products.
Login to Submit a Review














