You have no items in your shopping cart.
Description
Research Area
Images & Validation
−| Tested Applications | IF, IHC, WB |
|---|---|
| Dilution Range | Western Blot 1:500-1:1000, Immunofluorescence 1:100-1:200, Immunohistochemistry (Paraffin) 1:50-1:100 |
| Reactivity | Human, Mouse, Rat |
Key Properties
−| Antibody Type | Primary Antibody |
|---|---|
| Host | Mouse |
| Clonality | Monoclonal |
| Isotype | Mouse IgG2a |
| Target | Desmin |
| Conjugation | Unconjugated |
Storage & Handling
−| Storage | Maintain refrigerated at 2-8°C for up to 2 weeks. For long term storage store at -20°C in small aliquots to prevent freeze-thaw cycles. |
|---|---|
| Buffer/Preservatives | Phosphate-buffered solution, pH 7.2, containing 0.09% sodium azide |
| Expiration Date | 12 months from date of receipt. |
| Disclaimer | For research use only |
Similar Products
−DES Antibody [orb1410385]
IHC
Bovine, Canine, Equine, Feline, Human
Mouse
Monoclonal
Unconjugated
100 μg (without BSA and Azide), 20 μg, 100 μgDesmin Mouse Monoclonal Antibody [orb570326]
FC, IHC, WB
Human, Mouse, Rat
Mouse
Monoclonal
Unconjugated
100 μgDesmin (ready to use) Mouse Monoclonal Antibody [orb544581]
ICC, IF, IHC-Fr, IHC-P
Human
Mouse
Monoclonal
Unconjugated
3 ml, 6 mlDES Antibody [orb1409999]
IHC
Human
Mouse
Monoclonal
Unconjugated
20 μg, 100 μg, 100 μg (without BSA and Azide)Desmin Mouse Monoclonal Antibody [orb705442]
IHC
Human
Mouse
Monoclonal
Unconjugated
50 μl, 30 μl, 100 μl, 200 μl

Quality Guarantee
Explore bioreagents carefree to elevate your research. All our products are rigorously tested for performance. If a product does not perform as described on its datasheet, our scientific support team will provide expert troubleshooting, a prompt replacement, or a refund. For full details, please see our Terms & Conditions and Buying Guide. Contact us at support@biorbyt.com.

Anti-Desmin antibody at 1/1000 dilution, Lysates/proteins at 50 µg per lane. This blot was produced using a 10% SDS-PAGE. The Nitrocellulose membrane was then blocked for an hour before being incubated with orb1294251 overnight at 4°C.

Anti-Desmin antibody at 1/1000 dilution, Lysates/proteins at 50 µg per lane. This blot was produced using a 10% SDS-PAGE. The Nitrocellulose membrane was then blocked for an hour before being incubated with orb1294251 overnight at 4°C. Troponin I, cardiac muscle (orb1294291). Troponin T, cardiac muscle (orb1294292).

Cells were fixed with 4% PFA for 10 min at RT, permeabilized with 0.1% NP-40 for 10 min at RT then blocked with 5% BSA for 30 min at RT. Cells were stained with orb1294251 anti-Desmin antibody (red) at 1:200 and 4°C. DAPI (blue) was used as the nuclear counter stain.

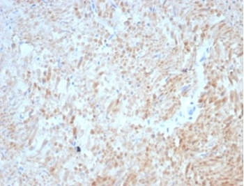
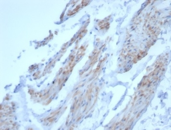
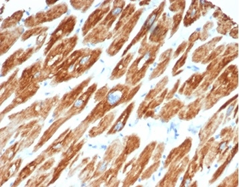
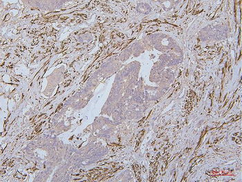
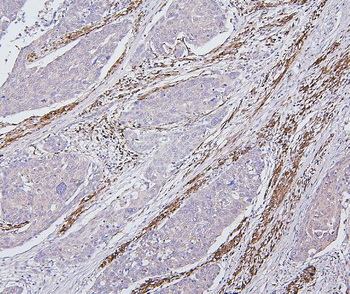
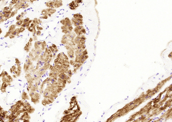
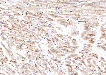
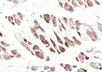
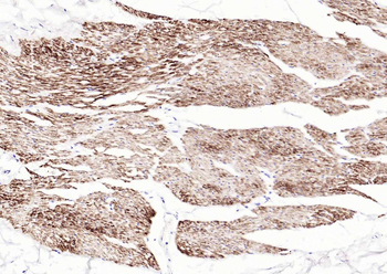
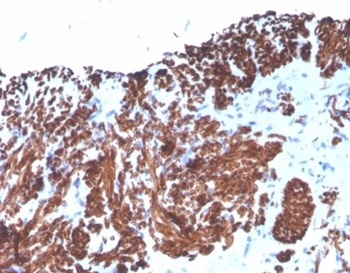
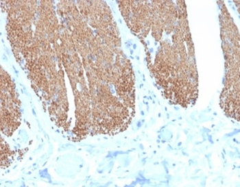
Desmin monoclonal antibody orb1294251. Immunoperoxidase staining of formalin fixed, paraffin-embedded human smooth muscle tissue.
Quick Database Links
Documents Download
Request a Document
Protocol Information
Desmin Mouse Monoclonal Antibody (orb1294251)
Participating in our Biorbyt product reviews program enables you to support fellow scientists by sharing your firsthand experience with our products.
Login to Submit a Review


























