You have no items in your shopping cart.
Desmoglein 2 Recombinant Rabbit Monoclonal Antibody
Description
Research Area
Images & Validation
−| Tested Applications | FC, ICC, IF, IHC-Fr, IHC-P, WB |
|---|---|
| Dilution Range | IHC-P=1:50-200, IHC-F=1:50-200, IF=1:50-200, WB=1:500-2000, Flow-Cyt=1:50-100, ICC/IF=1:50-200 |
| Reactivity | Human |
| Predicted Reactivity | Rat |
Related Conjugates & Formulations
−Key Properties
−| Antibody Type | Primary Antibody |
|---|---|
| Host | Rabbit |
| Clonality | Recombinant |
| Isotype | IgG |
| Clone No. | 7D6 |
| Immunogen | Recombinant protein within C-terminal human Desmoglein 2 |
| Target | DSG2 |
| Molecular Weight | 150 kDa |
| Purification | Affinity purified by Protein A |
| Conjugation | Unconjugated |
Storage & Handling
−| Storage | Maintain refrigerated at 2-8°C for up to 2 weeks. For long term storage store at -20°C in small aliquots to prevent freeze-thaw cycles. |
|---|---|
| Form/Appearance | Liquid |
| Buffer/Preservatives | 0.01M TBS (pH7.4) with 1% rAlbumin, 0.02% Proclin300 and 50% Glycerol. |
| Concentration | 1mg/ml |
| Expiration Date | 12 months from date of receipt. |
| Disclaimer | For research use only |
Alternative Names
−Similar Products
−Recombinant Desmoglein 2 Rabbit mAb Antibody [orb2989309]
WB
Human
Rabbit
Monoclonal
Unconjugated
50 μl, 100 μl, 30 μl, 200 μl

Quality Guarantee
Explore bioreagents carefree to elevate your research. All our products are rigorously tested for performance. If a product does not perform as described on its datasheet, our scientific support team will provide expert troubleshooting, a prompt replacement, or a refund. For full details, please see our Terms & Conditions and Buying Guide. Contact us at support@biorbyt.com.

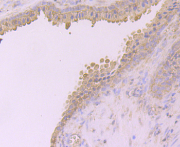
Immunohistochemical analysis of paraffin-embedded human placenta tissue using anti-Desmoglein 2 antibody. Counter stained with hematoxylin.

Immunohistochemical analysis of paraffin-embedded human prostate tissue using anti-Desmoglein 2 antibody. Counter stained with hematoxylin.

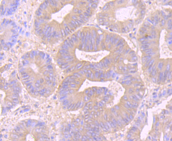
Immunohistochemical analysis of paraffin-embedded mouse small intestine tissue using anti-Desmoglein 2 antibody. Counter stained with hematoxylin.

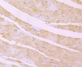
Immunohistochemical analysis of paraffin-embedded rat heart tissue using anti-Desmoglein 2 antibody. Counter stained with hematoxylin.

Immunohistochemical analysis of paraffin-embedded human colon cancer tissue using anti-Desmoglein 2 antibody. Counter stained with hematoxylin.
Quick Database Links
UniProt Details
−Documents Download
Request a Document
Protocol Information
Desmoglein 2 Recombinant Rabbit Monoclonal Antibody (orb704309)
Participating in our Biorbyt product reviews program enables you to support fellow scientists by sharing your firsthand experience with our products.
Login to Submit a Review