You have no items in your shopping cart.
DLAT Antibody
Description
Research Area
Images & Validation
−| Tested Applications | ELISA, IF, IHC, IP, WB |
|---|---|
| Dilution Range | WB: 1:500-1:3000; IF : 1:10-1:100; IHC: 1:50 - 1:200 |
| Reactivity | Human, Mouse, Rat |
Key Properties
−| Antibody Type | Primary Antibody |
|---|---|
| Host | Rabbit |
| Clonality | Polyclonal |
| Isotype | IgG |
| Immunogen | dihydrolipoamide S-acetyltransferase |
| Target | DLAT |
| Molecular Weight | 70kd |
| Purity | ≥95% as determined by SDS-PAGE |
| Purification | Immunogen affinity purified |
| Conjugation | Unconjugated |
Storage & Handling
−| Storage | Maintain refrigerated at 2-8°C for up to 2 weeks. For long term storage store at -20°C in small aliquots to prevent freeze-thaw cycles. |
|---|---|
| Form/Appearance | liquid |
| Expiration Date | 12 months from date of receipt. |
| Disclaimer | For research use only |
Alternative Names
−Similar Products
−DLAT Rabbit Polyclonal Antibody [orb763162]
ELISA, FC, ICC, IF, IHC, WB
Human, Mouse, Rat
Rabbit
Polyclonal
Unconjugated
100 μgDLAT Rabbit Polyclonal Antibody [orb578300]
IHC, WB
Bovine, Canine, Equine, Guinea pig, Mouse, Rabbit, Rat, Zebrafish
Human
Rabbit
Polyclonal
Unconjugated
100 μlMouse Dihydrolipoyl Transacetylase (DLAT) ELISA Kit [orb776236]
Mouse
1.57-100 ng/mL
0.6 ng/mL
96 T, 48 T

Quality Guarantee
Explore bioreagents carefree to elevate your research. All our products are rigorously tested for performance. If a product does not perform as described on its datasheet, our scientific support team will provide expert troubleshooting, a prompt replacement, or a refund. For full details, please see our Terms & Conditions and Buying Guide. Contact us at support@biorbyt.com.

Immunofluorescent analysis of Hela cells using orb626403 (DLAT antibody) at dilution of 1:25 and Alexa Fluor 488-conjugated Goat Anti-Rabbit IgG (H+L).

IP Result of anti-DLAT (IP: orb626403, 3 ug; Detection: orb626403 1:1000) with HepG2 cells lysate 2000 ug.

HepG2 cells were subjected to SDS PAGE followed by western blot with orb626403 (DLAT Antibody) at dilution of 1:2000.

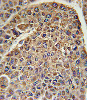
Immunohistochemistry of paraffin-embedded human kidney using orb626403 (DLAT Antibody) at dilution of 1:100.
Quick Database Links
UniProt Details
−Documents Download
Request a Document
Protocol Information
DLAT Antibody (orb626403)
Participating in our Biorbyt product reviews program enables you to support fellow scientists by sharing your firsthand experience with our products.
Login to Submit a Review





















