You have no items in your shopping cart.
DNAJC15 Antibody
Description
Research Area
Images & Validation
−| Tested Applications | ELISA, IHC, WB |
|---|---|
| Dilution range | WB: 1:500-1:2000; IHC: 1:20-1:200 |
| Reactivity | Human, Mouse, Rat |
Key Properties
−| Antibody Type | Primary Antibody |
|---|---|
| Host | Rabbit |
| Clonality | Polyclonal |
| Isotype | IgG |
| Immunogen | DnaJ(Hsp40) homolog, subfamily C, member 15 |
| Target | DNAJC15 |
| Molecular Weight | 18-20kd |
| Purity | ≥95% as determined by SDS-PAGE |
| Purification | Immunogen affinity purified |
| Conjugation | Unconjugated |
Storage & Handling
−| Storage | Maintain refrigerated at 2-8°C for up to 2 weeks. For long term storage store at -20°C in small aliquots to prevent freeze-thaw cycles. |
|---|---|
| Form/Appearance | liquid |
| Disclaimer | For research use only |
Alternative Names
−Similar Products
−DNAJC15 Rabbit Monoclonal Antibody [orb548456]
IHC, WB
Human, Mouse, Rat
Rabbit
Monoclonal
Unconjugated
100 μlDNAJC15 Rabbit mAb Antibody [orb1951795]
IHC, WB
Human, Mouse, Rat
Rabbit
Monoclonal
Unconjugated
100 μl, 50 μlNeuronatin Rabbit Monoclonal Antibody [orb866326]
WB
Human, Mouse
Rabbit
Monoclonal
Unconjugated

Quality Guarantee
Explore bioreagents carefree to elevate your research. All our products are rigorously tested for performance. If a product does not perform as described on its datasheet, our scientific support team will provide expert troubleshooting, a prompt replacement, or a refund. For full details, please see our Terms & Conditions and Buying Guide. Contact us at support@biorbyt.com.

mouse liver tissue were subjected to SDS PAGE followed by western blot with orb626453 (DNAJC15 antibody) at dilution of 1:1000.

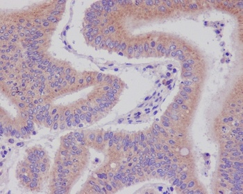
Immunohistochemistry of paraffin-embedded human liver using orb626453 (DNAJC15 antibody) at dilution of 1:100.
Quick Database Links
UniProt Details
−Documents Download
Request a Document
Protocol Information
DNAJC15 Antibody (orb626453)
Participating in our Biorbyt product reviews program enables you to support fellow scientists by sharing your firsthand experience with our products.
Login to Submit a Review






