You have no items in your shopping cart.
DPEP1 Antibody
Description
Research Area
Images & Validation
−| Tested Applications | ELISA, IHC, WB |
|---|---|
| Dilution Range | WB: 1:200-1:1000; IHC: 1:100-1:400 |
| Reactivity | Human, Mouse, Rat |
Key Properties
−| Antibody Type | Primary Antibody |
|---|---|
| Host | Rabbit |
| Clonality | Polyclonal |
| Isotype | IgG |
| Immunogen | dipeptidase 1(renal) |
| Target | DPEP1 |
| Molecular Weight | 46 kDa |
| Purity | ≥95% as determined by SDS-PAGE |
| Purification | Immunogen affinity purified |
| Conjugation | Unconjugated |
Storage & Handling
−| Storage | Maintain refrigerated at 2-8°C for up to 2 weeks. For long term storage store at -20°C in small aliquots to prevent freeze-thaw cycles. |
|---|---|
| Form/Appearance | liquid |
| Disclaimer | For research use only |
Alternative Names
−Similar Products
−DPEP1 Recombinant Rabbit Monoclonal Antibody [orb1173110]
IF, IHC-Fr, IHC-P
Human, Rat
Human, Rat
Rabbit
Recombinant
Unconjugated
25 μl, 100 μl, 50 μlDPEP1 Rabbit Polyclonal Antibody (Biotin) [orb455990]
ELISA, ICC, IF, IHC-Fr, IHC-P
Human, Mouse
Rabbit
Polyclonal
Biotin
100 μl

Quality Guarantee
Explore bioreagents carefree to elevate your research. All our products are rigorously tested for performance. If a product does not perform as described on its datasheet, our scientific support team will provide expert troubleshooting, a prompt replacement, or a refund. For full details, please see our Terms & Conditions and Buying Guide. Contact us at support@biorbyt.com.

mouse liver tissue were subjected to SDS PAGE followed by western blot with orb626502 (DPEP1 Antibody) at dilution of 1:300.

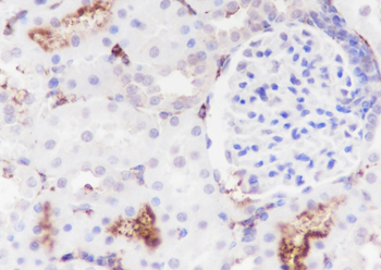
Immunohistochemistry of paraffin-embedded human kidney tissue slide using orb626502 (DPEP1 Antibody) at dilution of 1:200.
Quick Database Links
UniProt Details
−Documents Download
Request a Document
Protocol Information
DPEP1 Antibody (orb626502)
Participating in our Biorbyt product reviews program enables you to support fellow scientists by sharing your firsthand experience with our products.
Login to Submit a Review






