You have no items in your shopping cart.
DYNLL1 Antibody
Description
Research Area
Images & Validation
−| Tested Applications | ELISA, IF, IHC, WB |
|---|---|
| Dilution Range | WB:1:500-2000, IHC-P:1:20-200, IF:1:50-200 |
| Reactivity | Human |
Key Properties
−| Host | Rabbit |
|---|---|
| Clonality | Polyclonal |
| Isotype | IgG |
| Immunogen | Recombinant Human Dynein light chain 1, cytoplasmic protein (1-89AA) |
| Target | DYNLL1 |
| Purification | >95%, Protein G purified |
| Conjugation | Unconjugated |
Storage & Handling
−| Storage | Maintain refrigerated at 2-8°C for up to 2 weeks. For long term storage store at -20°C in small aliquots to prevent freeze-thaw cycles. |
|---|---|
| Form/Appearance | Liquid |
| Buffer/Preservatives | Preservative: 0.03% Proclin 300. Constituents: 50% Glycerol |
| Expiration Date | 12 months from date of receipt. |
| Disclaimer | For research use only |
Alternative Names
−Similar Products
−DYNLL1/PIN Rabbit Polyclonal Antibody [orb745946]
ELISA, FC, ICC, IF, IHC, WB
Human, Mouse, Rat
Rabbit
Polyclonal
Unconjugated
100 μgDYNLL1/PIN Mouse Monoclonal Antibody [orb865680]
FC, ICC, IF, IHC, WB
Human, Mouse, Rat
Mouse
Monoclonal
Unconjugated
100 μgDYNLL1 Antibody [orb520688]
ELISA, IHC, WB
Human, Mouse, Rat
Rabbit
Polyclonal
Unconjugated
100 μl, 50 μlDYNLL1 Rabbit Polyclonal Antibody [orb666533]
IF, IHC, WB
Human, Mouse, Rat
Rabbit
Polyclonal
Unconjugated
50 μl, 100 μl, 200 μl, 30 μl

Quality Guarantee
Explore bioreagents carefree to elevate your research. All our products are rigorously tested for performance. If a product does not perform as described on its datasheet, our scientific support team will provide expert troubleshooting, a prompt replacement, or a refund. For full details, please see our Terms & Conditions and Buying Guide. Contact us at support@biorbyt.com.

Western blot analysis of EC109 whole cell lysate using Dynein light chain 1,cytoplasmic antibody

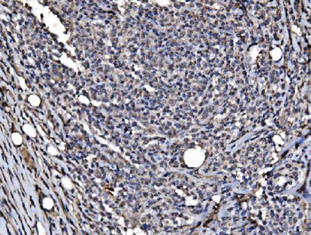
Immunohistochemical staining of human cervical cancer using Dynein light chain 1,cytoplasmic antibody

Immunohistochemical staining of human tonsil tissue using Dynein light chain 1,cytoplasmic antibody

Immunofluorescence analysis of MCF-7 cells using Dynein light chain 1,cytoplasmic antibody
Quick Database Links
UniProt Details
−Documents Download
Request a Document
Protocol Information
DYNLL1 Antibody (orb238238)
Participating in our Biorbyt product reviews program enables you to support fellow scientists by sharing your firsthand experience with our products.
Login to Submit a Review























