You have no items in your shopping cart.
EEA1 Rabbit Polyclonal Antibody
Description
Research Area
Images & Validation
−| Tested Applications | IF, IHC, WB |
|---|---|
| Dilution Range | Western Blot 1:2000-1:4000, Immunofluorescence 1:500-1:1000 |
| Reactivity | Human, Mouse, Rat |
Key Properties
−| Antibody Type | Primary Antibody |
|---|---|
| Host | Rabbit |
| Clonality | Polyclonal |
| Isotype | Rabbit-IgG |
| Immunogen | Synthetic peptide / encompassing a sequence within the C-terminus region. |
| Target | EEA1 |
| Conjugation | Unconjugated |
Storage & Handling
−| Storage | Maintain refrigerated at 2-8°C for up to 2 weeks. For long term storage store at -20°C in small aliquots to prevent freeze-thaw cycles. |
|---|---|
| Buffer/Preservatives | 100mM Tris Glycine, 20% Glycerol (pH7). 0.025% ProClin 300 was added as a preservative |
| Expiration Date | 12 months from date of receipt. |
| Disclaimer | For research use only |
Similar Products
−EEA1 Rabbit Polyclonal Antibody [orb402272]
ICC, IF, IHC, WB
Human, Mouse, Rat
Rabbit
Polyclonal
Unconjugated
100 μgEEA1 Rabbit Polyclonal Antibody [orb329566]
IHC, IP, WB
Bovine, Canine, Equine, Guinea pig, Mouse, Rabbit
Human, Rat
Rabbit
Polyclonal
Unconjugated
100 μlRab5 Antibody (HRP) [orb151830]
ICC, IF, IHC, WB
Bovine, Human, Monkey, Mouse, Rat
Rabbit
Polyclonal
HRP
100 μgRab5 Antibody (PerCP) [orb151832]
ICC, IF, IHC, WB
Bovine, Human, Monkey, Mouse, Rat
Rabbit
Polyclonal
PerCP
100 μg

Quality Guarantee
Explore bioreagents carefree to elevate your research. All our products are rigorously tested for performance. If a product does not perform as described on its datasheet, our scientific support team will provide expert troubleshooting, a prompt replacement, or a refund. For full details, please see our Terms & Conditions and Buying Guide. Contact us at support@biorbyt.com.

Anti-EEA1 antibody - at 1/2000 dilution, Lysates at 35 µg per lane. This blot was produced using a 5% SDS-PAGE. Nitrocellulose membrane was then blocked for an hour before being incubated with orb1294269 overnight at 4°C.

EEA1 antibody by immunofluorescent analysis. Sample: DIV9 rat E18 primary cortical neurons, Green: EEA1 antibody (orb1294269) diluted at 1:500. Red: Tuj1 antibody, Blue: DAPI.

EEA1 antibody by immunofluorescent analysis. Sample: MCF-7 cell, Red: EEA1 antibody (orb1294269) diluted at 1:500. Blue: DAPI.

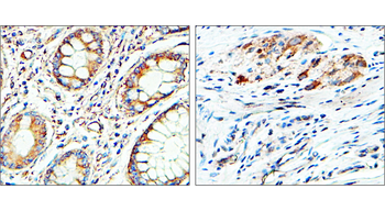
Immunohistochemical analysis of paraffin embedded Human testis, breast, Colorental and lymph node cancer tissue labeling EEA1 with orb1294269 at 1/100.
Quick Database Links
Documents Download
Request a Document
Protocol Information
EEA1 Rabbit Polyclonal Antibody (orb1294269)
Participating in our Biorbyt product reviews program enables you to support fellow scientists by sharing your firsthand experience with our products.
Login to Submit a Review
















