You have no items in your shopping cart.
EEF2 Rabbit Polyclonal Antibody
Description
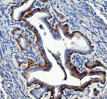
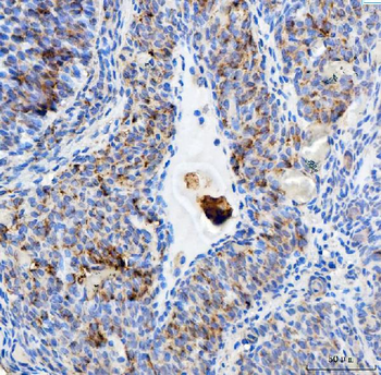
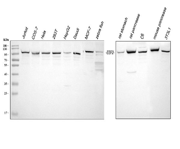
Images & Validation
−
| Tested Applications | ELISA, IHC, WB |
|---|---|
| Reactivity | Bovine, Gallus, Hamster, Human, Mouse, Rabbit, Rat, Xenopus, Zebrafish |
Key Properties
−| Antibody Type | Primary Antibody |
|---|---|
| Host | Rabbit |
| Clonality | Polyclonal |
| Isotype | IgG |
| Immunogen | E. coli - derived recombinant Human EEF2 (Val509-Leu858). |
| Purification | Purified by antigen affinity column. |
| Conjugation | Unconjugated |
Storage & Handling
−| Storage | Maintain refrigerated at 2-8°C for up to 2 weeks. For long term storage store at -20°C in small aliquots to prevent freeze-thaw cycles. |
|---|---|
| Form/Appearance | Liquid |
| Buffer/Preservatives | 0.01M PBS, pH 7.4, 50% Glycerol, 0.05% Proclin 300. |
| Expiration Date | 12 months from date of receipt. |
| Disclaimer | For research use only |
Alternative Names
−Similar Products
−EEF2/Elongation factor 2 Rabbit Polyclonal Antibody [orb738382]
FC, ICC, IF, IHC, WB
Human, Monkey, Mouse, Rat
Rabbit
Polyclonal
Unconjugated
100 μgEEF2 Rabbit Polyclonal Antibody [orb692171]
ELISA, IHC, WB
Human, Monkey, Mouse, Rat, Zebrafish
Rabbit
Polyclonal
Unconjugated
100 μgEF-2 (phospho Thr56) rabbit pAb Antibody [orb767919]
ELISA, IF, IHC, WB
Human, Mouse, Rat
Polyclonal
Unconjugated
100 μl, 50 μlEF-2 rabbit pAb Antibody [orb765105]
ELISA, IF, IHC, WB
Human, Mouse, Rat
Polyclonal
Unconjugated
50 μl, 100 μlEEF2 Rabbit Polyclonal Antibody [orb626626]
ELISA, IF, IHC, IP, WB
Human, Mouse
Rabbit
Polyclonal
Unconjugated
50 μg, 100 μg

Quality Guarantee
Explore bioreagents carefree to elevate your research. All our products are rigorously tested for performance. If a product does not perform as described on its datasheet, our scientific support team will provide expert troubleshooting, a prompt replacement, or a refund. For full details, please see our Terms & Conditions and Buying Guide. Contact us at support@biorbyt.com.
Quick Database Links
UniProt Details
−Documents Download
Request a Document
Protocol Information
EEF2 Rabbit Polyclonal Antibody (orb2955489)
Participating in our Biorbyt product reviews program enables you to support fellow scientists by sharing your firsthand experience with our products.
Login to Submit a Review





























