You have no items in your shopping cart.
EGFR Antibody
Description
Research Area
Images & Validation
−| Tested Applications | FC, IF |
|---|---|
| Dilution Range | FACS: 0.5-1 μg/million cells, IF/ICC: 1-2 μg/ml, IHC-P: 2-4 μg/ml |
| Reactivity | Human |
| Application Notes |
Key Properties
−| Host | Mouse |
|---|---|
| Clonality | Monoclonal |
| Isotype | IgG2a |
| Clone No. | GFR450 |
| Immunogen | Recombinant extracellular domain of human EGFR protein |
| Target | EGFR |
| Source/Expression System | Bioreactor |
| Molecular Weight | ~170kDa (wild type) and ~145kDa (vIII variant) |
| Purification | Protein A |
| Conjugation | Unconjugated |
Storage & Handling
−| Storage | Maintain refrigerated at 2-8°C for up to 2 weeks. For long term storage store at -20°C in small aliquots to prevent freeze-thaw cycles. |
|---|---|
| Form/Appearance | 200ug/ml of Ab Purified from Bioreactor Concentrate by Protein A/G. Prepared in 10mM PBS with 0.05% rAlbumin & 0.05% azide. Also available WITHOUT rAlbumin & azide at 1mg/ml. |
| Expiration Date | 12 months from date of receipt. |
| Disclaimer | For research use only |
Alternative Names
−Similar Products
−EGFR isoform a variant antibody [orb308736]
ELISA, ICC, IF, IHC-P, WB
Human, Mouse, Porcine, Rat
Rabbit
Polyclonal
Unconjugated
100 μgEGFR Rabbit Polyclonal Antibody [orb10580]
FC, IF, IHC-Fr, IHC-P, WB
Canine, Mouse, Porcine
Human, Rat
Rabbit
Polyclonal
Unconjugated
50 μl, 100 μl, 200 μlEGFR Rabbit Polyclonal Antibody [orb654422]
ELISA, FC, ICC, IF, IHC, WB
Human, Mouse, Rat
Rabbit
Polyclonal
Unconjugated
100 μgEGFR Antibody (C-term) [orb1939233]
IHC-P, WB
Human, Mouse, Rat
Mouse
Monoclonal
Unconjugated
100 μl, 50 μl

Quality Guarantee
Explore bioreagents carefree to elevate your research. All our products are rigorously tested for performance. If a product does not perform as described on its datasheet, our scientific support team will provide expert troubleshooting, a prompt replacement, or a refund. For full details, please see our Terms & Conditions and Buying Guide. Contact us at support@biorbyt.com.

Flow cytometric analysis of A431 cells using EGFR antibody

Immunofluorescence analysis of A431 cells using EGFR antibody

Immunofluorescence analysis of A431 cells using EGFR antibody

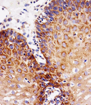
Immunohistochemical staining of Lung Squamous cell carcinoma tissue using EGFR antibody
Quick Database Links
UniProt Details
−Documents Download
Request a Document
Protocol Information
EGFR Antibody (orb388057)
Participating in our Biorbyt product reviews program enables you to support fellow scientists by sharing your firsthand experience with our products.
Login to Submit a Review














































