You have no items in your shopping cart.
EIF2S1 Recombinant Rabbit Monoclonal Antibody
Description
Images & Validation
−| Tested Applications | IF, IHC-Fr, IHC-P, WB |
|---|---|
| Dilution Range | WB=1:500-2000, IHC-P=1:200-1000, IHC-F=1:200-1000, IF=1:200-1000 |
| Reactivity | Human, Mouse, Rat |
| Predicted Reactivity | Rat |
Key Properties
−| Antibody Type | Primary Antibody |
|---|---|
| Host | Rabbit |
| Clonality | Recombinant |
| Isotype | IgG |
| Clone No. | 5A1 |
| Immunogen | KLH conjugated synthetic peptide derived from human EIF2S1 |
| Target | EIF2S1 |
| Molecular Weight | 36 kDa |
| Purification | Affinity purified by Protein A |
| Conjugation | Unconjugated |
Storage & Handling
−| Storage | Maintain refrigerated at 2-8°C for up to 2 weeks. For long term storage store at -20°C in small aliquots to prevent freeze-thaw cycles. |
|---|---|
| Form/Appearance | Liquid |
| Buffer/Preservatives | 0.01M TBS (pH7.4) with 1% rAlbumin, 0.02% Proclin300 and 50% Glycerol. |
| Concentration | 1mg/ml |
| Expiration Date | 12 months from date of receipt. |
| Disclaimer | For research use only |
Alternative Names
−Similar Products
−Phospho-EIF2S1 (Ser51) Recombinant Rabbit Monoclonal Antibody [orb1974725]
FC, ICC, IF, IHC-Fr, IHC-P, WB
Rat
Human, Mouse, Rat
Rabbit
Recombinant
Unconjugated
25 μl, 50 μl, 100 μlEIF2S1 (Phospho-S51) Rabbit Monoclonal Antibody [orb2988893]
IF, WB
Human, Mouse, Rat
Rabbit
Monoclonal
Unconjugated
200 μl, 100 μl, 50 μl, 30 μl

Quality Guarantee
Explore bioreagents carefree to elevate your research. All our products are rigorously tested for performance. If a product does not perform as described on its datasheet, our scientific support team will provide expert troubleshooting, a prompt replacement, or a refund. For full details, please see our Terms & Conditions and Buying Guide. Contact us at support@biorbyt.com.

Sample: Lane 1: Mouse Spleen tissue lysates, Lane 2: Human Hepg2 cell lysates, Lane 3: Human Mcf-7 cell lysates, Lane 4: Human Hela cell lysates, Lane 5: Human K562 cell lysates, Primary: Anti-EIF2S1 (orb1152033) at 1/1000 dilution, Secondary: IRDye800CW Goat Anti-Rabbit IgG at 1/20000 dilution, Predicted band size: 65 kD, Observed band size: 36-38 kD.

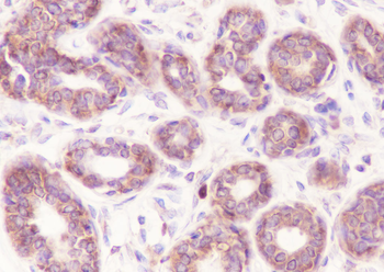
Tissue:Human breast, Section type: Formalin fixed & Paraffin-embedded section, Retrieval method: High temperature and high pressure, Retrieval buffer: Tris/EDTA buffer, pH9.0 Primary ab Dilution: 1:100, Primary ab incubation condition: 1 hour at room temperature, Counter stain: Hematoxylin, Comment: Color brown is the positive signal for orb1152033.
Quick Database Links
UniProt Details
−Documents Download
Request a Document
Protocol Information
EIF2S1 Recombinant Rabbit Monoclonal Antibody (orb1152033)
Participating in our Biorbyt product reviews program enables you to support fellow scientists by sharing your firsthand experience with our products.
Login to Submit a Review








